相关产品推荐更多 >
万千商家帮你免费找货
0 人在求购买到急需产品
- 详细信息
- 文献和实验
- 技术资料
- 免疫原:
Full length human recombinant protein of human SH3GL1 (NP_003016) produced in HEK293T cell.
- 亚型:
IgG1
- 形态:
Liquid
- 保存条件:
Store as concentrated solution. Centrifuge briefly prior to opening vial. For short-term storage (1-2 weeks), store at 4ºC. For long-term storage, aliquot and store at -20ºC or below. Avoid multiple freeze-thaw cycles.
- 克隆性:
Monoclonal
- 标记物:
Unconjugated
- 适应物种:
Human
- 保质期:
12 months from the shipping date of the product.
- 抗原来源:
Human
- 目录编号:
GTX83657
- 级别:
Primary Antibodies
- 库存:
Available
- 供应商:
GeneTex
- 宿主:
Mouse
- 应用范围:
WB, ICC/IF, IHC-P, FACS
- 浓度:
0.64 mg/ml (Please refer to the vial label for the specific concentration.)
- 靶点:
SH3GL1
- 抗体英文名:
SH3GL1 antibody [2F5]
- 抗体名:
SH3GL1 抗体 [2F5]
- 规格:
100 μl
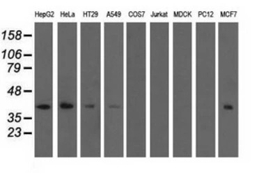
Various whole cell extracts (30 μg) were separated by 10% SDS-PAGE, and the membrane was blotted with SH3GL1 antibody [2F5] (GTX83657) diluted at 1:1000. The HRP-conjugated anti-mouse IgG antibody (GTX213111-01) was used to detect the primary antibody, and the signal was developed with Trident ECL plus-Enhanced. Corresponding RNA expression data for the same cell lines are based on Human Protein Atlas program.
FACS analysis of Jurkat cells using GTX83657 SH3GL1 antibody [2F5].
Red : Primary antibody
Blue : Negative control antibody
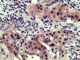
IHC-P analysis of human bladder carcinoma tissue using GTX83657 SH3GL1 antibody [2F5].
Antigen retrieval : Heat-induced epitope retrieval by 10mM citrate buffer, pH6.0, 100ºC for 10min.
ICC/IF analysis of COS7 cells transiently transfected with SH3GL1 plasmid using GTX83657 SH3GL1 antibody [2F5].
WB analysis of wild type and SH3GL1 knock out 293T cell lysate(10μg per lane) using GTX83657 SH3GL1 antibody [2F5].
Dilution : 1:500
WB analysis of various cell lines using GTX83657 SH3GL1 antibody [2F5].
Loading : 35 ug per lane
FACS analysis of HeLa cells using GTX83657 SH3GL1 antibody [2F5].
Red : Primary antibody
Blue : Negative control antibody
风险提示:丁香通仅作为第三方平台,为商家信息发布提供平台空间。用户咨询产品时请注意保护个人信息及财产安全,合理判断,谨慎选购商品,商家和用户对交易行为负责。对于医疗器械类产品,请先查证核实企业经营资质和医疗器械产品注册证情况。
文献和实验(1 ). In our laboratory, we have developed methods to immortalize specific antibody-producing cells by fusing secreting EBV-activated lymphocytes to mouse-human heteromyeloma cell lines with electrofusion, followed by cloning (2 ). This methodology has allowed
Determination of Epitopes by Mass Spectrometry
located on the gp41 protein of the human immunodeficiency virus recognized by the monoclonal antibody 2F5. In this approach we coupled the antigen SOSgp140 to the antibody 2F5, which was covalently linked to an Fc-specific antibody immobilized on cyanogen
挑选14个克隆进行筛选,结果发现14个克隆均能与靶抗原有反应,其中以4(E4F4)、5(E5F5)、6(G4)、7(G5)、11(G9)克隆颜色较深,挑取6号克隆,利用APAAP法进一步检测其结合活性。结果显示,克隆6的表达产物能和Daudi细胞特异结合。克隆6的测序结果和氨基酸序列分析表明该基因序列完全符合PDB库中抗体所具有的若干保守的框架氨基酸的特点,该序列是一抗体基因序列。2、抗CD20嵌合抗体Fab和F(ab)2的表达与纯化SDS-PAGE电泳结果表明Protein G可有效纯化Fab
技术资料暂无技术资料 索取技术资料











