相关产品推荐更多 >
万千商家帮你免费找货
0 人在求购买到急需产品
- 详细信息
- 文献和实验
- 技术资料
- 免疫原:
Full length human recombinant protein of human TF(NP_001054) produced in HEK293T cell.
- 亚型:
IgG1
- 形态:
Liquid
- 保存条件:
Store as concentrated solution. Centrifuge briefly prior to opening vial. For short-term storage (1-2 weeks), store at 4ºC. For long-term storage, aliquot and store at -20ºC or below. Avoid multiple freeze-thaw cycles.
- 克隆性:
Monoclonal
- 标记物:
Unconjugated
- 适应物种:
Human, Mouse, Dog, Monkey
- 保质期:
12 months from the shipping date of the product.
- 抗原来源:
Human
- 目录编号:
GTX83513
- 级别:
Primary Antibodies
- 库存:
Available
- 供应商:
GeneTex
- 宿主:
Mouse
- 应用范围:
WB, ICC/IF, FACS
- 浓度:
0.61 mg/ml (Please refer to the vial label for the specific concentration.)
- 靶点:
Transferrin
- 抗体英文名:
Transferrin antibody [5G2]
- 抗体名:
Transferrin 抗体 [5G2]
- 规格:
100 μl
WB analysis of various samples using GTX83513 Transferrin antibody [5G2].
Loading : 10 ug per lane
Dilution : 1:200
WB analysis of HEK293T cells transfected with Transferrin plasmid (Right) or empty vector (Left) for 48 hrs using GTX83513 Transferrin antibody [5G2].
Loading : 5 ug per lane
Dilution : 1:2000
FACS analysis of HEK293T cells transfected with either Transferrin plasmid(Red) or empty vector control plasmid(Blue) using GTX83513 Transferrin antibody [5G2].
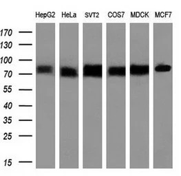
WB analysis of various cell lines using GTX83513 Transferrin antibody [5G2].
Loading : 10 ug per lane
Dilution : 1:1000
ICC/IF analysis of COS7 cells transiently transfected with Transferrin plasmid using GTX83513 Transferrin antibody [5G2].
风险提示:丁香通仅作为第三方平台,为商家信息发布提供平台空间。用户咨询产品时请注意保护个人信息及财产安全,合理判断,谨慎选购商品,商家和用户对交易行为负责。对于医疗器械类产品,请先查证核实企业经营资质和医疗器械产品注册证情况。
文献和实验大鼠转铁蛋白(Transferrin)ELISA试剂盒 说明书
上海西唐生物科技有限公司 021-55229872, 65333639 www.westang.com 大鼠转铁蛋白 (Transferrin)ELISA 试剂盒 ( 用于血清、血浆、细胞培养上清液和其它生物体液内 ) 原理 本实验采用双抗体夹心 ABC-ELISA 法。用抗大鼠 Transferrin 单抗包被于酶标板上,标准品和样品中的 Transferrin 与单抗结合,加入生物素化的抗大
小鼠转铁蛋白(Transferrin)ELISA试剂盒 说明书
上海西唐生物科技有限公司 021-55229872, 65333639 www.westang.com 小鼠转铁蛋白 ( Transferrin )ELISA 试剂盒 ( 用于血清、血浆、细胞培养上清液和其它生物体液内 ) 原理 本实验采用双抗体夹心 ABC-ELISA 法。用抗小鼠 Transferrin 单抗包被于酶标板上,标准品和样品中的
, kinetic analysis, structural studies, fermentation monitoring, receptor-cell interactions, and equilibrium analysis. The most widespread applications have been to protein-protein interactions, in particular receptor-ligand and antibody-antigen binding
技术资料暂无技术资料 索取技术资料







![CXCL11 antibody [10C6]](https://img1.dxycdn.com/2022/0328/951/7885312808601500453-14.jpg!wh200)



