相关产品推荐更多 >
万千商家帮你免费找货
0 人在求购买到急需产品
- 详细信息
- 文献和实验
- 技术资料
- 免疫原:
Purified recombinant fragment of human ZBTB7B expressed in E. Coli.
- 亚型:
IgG1
- 形态:
Liquid
- 保存条件:
Store as concentrated solution. Centrifuge briefly prior to opening vial. For short-term storage (1-2 weeks), store at 4ºC. For long-term storage, aliquot and store at -20ºC or below. Avoid multiple freeze-thaw cycles.
- 克隆性:
Monoclonal
- 标记物:
Unconjugated
- 适应物种:
Human
- 保质期:
12 months from the shipping date of the product.
- 抗原来源:
Human
- 目录编号:
GTX83353
- 级别:
Primary Antibodies
- 库存:
Available
- 供应商:
GeneTex
- 宿主:
Mouse
- 应用范围:
WB, ICC/IF, IHC-P, ELISA
- 靶点:
ThPok
- 抗体英文名:
ThPok antibody [7C12]
- 抗体名:
ThPok 抗体 [7C12]
- 规格:
100 μl
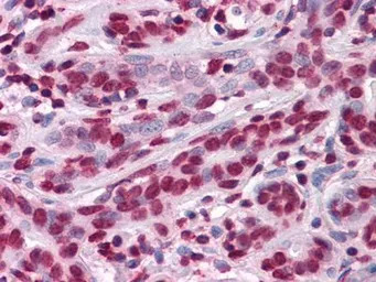
IHC-P analysis of human Breast tissue using GTX83353 ThPok antibody [7C12].
ICC/IF analysis of HeLa cells using GTX83353 ThPok antibody [7C12].
Green : ThPok
Red: Actin filaments
WB analysis of HEK293 (1,2) cell lysate using GTX83353 ThPok antibody [7C12].
风险提示:丁香通仅作为第三方平台,为商家信息发布提供平台空间。用户咨询产品时请注意保护个人信息及财产安全,合理判断,谨慎选购商品,商家和用户对交易行为负责。对于医疗器械类产品,请先查证核实企业经营资质和医疗器械产品注册证情况。
文献和实验[资源] 所有的看家基因(housekeeping genes)列表+引物设计服务
sapiens replication protein A2, 32kDa (RPA2), mRNA 537 NM_004356 Homo sapiens CD81 antigen (target of antiproliferative antibody 1) (CD81), mRNA 3638 NM_001743 Homo sapiens calmodulin 2 (phosphorylase kinase, delta) (CALM2), mRNA 4675 NM_004231
技术资料暂无技术资料 索取技术资料





![Seryl-tRNA synthetase antibody [N1C2]](https://img1.dxycdn.com/2022/0328/566/6879375298099200453-14.jpg!wh200)

![SLC17A1 antibody [4B4D1]](https://img1.dxycdn.com/2022/0328/008/3710732409479600453-14.jpg!wh200)



