相关产品推荐更多 >
万千商家帮你免费找货
0 人在求购买到急需产品
- 详细信息
- 文献和实验
- 技术资料
- 免疫原:
Purified recombinant fragment of S100B(AA : 2-92) expressed in E. Coli.
- 亚型:
IgG1
- 形态:
Liquid
- 保存条件:
Store as concentrated solution. Centrifuge briefly prior to opening vial. For short-term storage (1-2 weeks), store at 4ºC. For long-term storage, aliquot and store at -20ºC or below. Avoid multiple freeze-thaw cycles.
- 克隆性:
Monoclonal
- 标记物:
Unconjugated
- 适应物种:
Human
- 保质期:
12 months from the shipping date of the product.
- 抗原来源:
Human
- 目录编号:
GTX83327
- 级别:
Primary Antibodies
- 库存:
Available
- 供应商:
GeneTex
- 宿主:
Mouse
- 应用范围:
WB, IHC-P, ELISA
- 靶点:
S100 beta
- 抗体英文名:
S100 beta antibody [9A11B9]
- 抗体名:
S100 beta 抗体 [9A11B9]
- 规格:
100 μl
WB analysis of full-length S100B recombinant protein using GTX83327 S100 beta antibody [9A11B9].
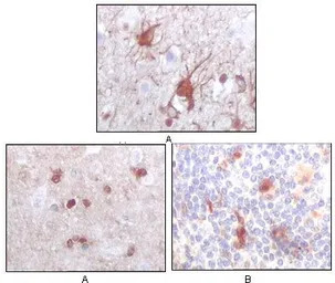
IHC-P analysis of human brain (A) and human thymus tissue (B) using GTX83327 S100 beta antibody [9A11B9].
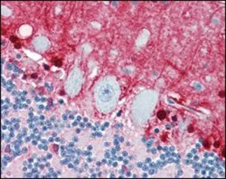
IHC-P analysis of human brain, cerebellun using GTX83327 S100 beta antibody [9A11B9].
风险提示:丁香通仅作为第三方平台,为商家信息发布提供平台空间。用户咨询产品时请注意保护个人信息及财产安全,合理判断,谨慎选购商品,商家和用户对交易行为负责。对于医疗器械类产品,请先查证核实企业经营资质和医疗器械产品注册证情况。
文献和实验Anticardiolipin Antibody and Anti-beta 2 Glycoprotein I Antibody Assays
) antibodies and anti-beta 2 glycoprotein I (β2-GPI) antibodies. Other autoantibodies, such as those directed against anionic phospholipids, can also be assayed; however they are not of clinical significance. Participation in a quality assurance
上海西唐生物科技有限公司 021-55229872, 65333639 www.westang.com 人S100 蛋白 ( S100 )ELISA 试剂盒 ( 用于血清、血浆、细胞培养上清液和其它生物体液内 ) 原理 本实验采用双抗体夹心 ABC-ELISA 法。用抗人 S100 单抗包被于酶标板上,标准品和样品中的 S100与单抗结合,加入生物素化的抗人 S100
上海西唐生物科技有限公司 021-55229872, 65333639 www.westang.com 大鼠 S100 蛋白 (S100)ELISA 试剂盒 ( 用于血清、血浆、细胞培养上清液和其它生物体液内 ) 原理 本实验采用双抗体夹心 ABC-ELISA 法。用抗大鼠 S100 单抗包被于酶标板上,标准品和样品中的 S100 与单抗结合,加入生物素化的抗大鼠 S100 ,形成免疫复合物连接
技术资料暂无技术资料 索取技术资料





![Involucrin antibody [SY5]](https://img1.dxycdn.com/2022/0328/766/8203199475924500453-14.jpg!wh200)





