相关产品推荐更多 >
万千商家帮你免费找货
0 人在求购买到急需产品
- 详细信息
- 文献和实验
- 技术资料
- 免疫原:
Purified recombinant fragment of human Nkx3.1 expressed in E. Coli.
- 亚型:
IgG2b
- 形态:
Liquid
- 保存条件:
Store as concentrated solution. Centrifuge briefly prior to opening vial. For short-term storage (1-2 weeks), store at 4ºC. For long-term storage, aliquot and store at -20ºC or below. Avoid multiple freeze-thaw cycles.
- 克隆性:
Monoclonal
- 标记物:
Unconjugated
- 适应物种:
Human
- 保质期:
12 months from the shipping date of the product.
- 抗原来源:
Human
- 目录编号:
GTX83288
- 级别:
Primary Antibodies
- 库存:
Available
- 供应商:
GeneTex
- 宿主:
Mouse
- 应用范围:
WB, IHC-P, FACS, ELISA
- 靶点:
Nkx3.1
- 抗体英文名:
Nkx3.1 antibody [4H4]
- 抗体名:
Nkx3.1 抗体 [4H4]
- 规格:
100 μl
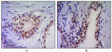
IHC-P analysis of human prostata tissue (A, B) using GTX83288 Nkx3.1 antibody [4H4].
WB analysis of LNCaP (1) cell lysate using GTX83288 Nkx3.1 antibody [4H4].
FACS analysis of PC-3 cells using GTX83288 Nkx3.1 antibody [4H4].
Green : Nkx3.1
Purple : negative control
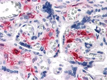
IHC-P analysis of human Liver tissue using GTX83288 Nkx3.1 antibody [4H4].
风险提示:丁香通仅作为第三方平台,为商家信息发布提供平台空间。用户咨询产品时请注意保护个人信息及财产安全,合理判断,谨慎选购商品,商家和用户对交易行为负责。对于医疗器械类产品,请先查证核实企业经营资质和医疗器械产品注册证情况。
文献和实验【共享】 蛋白质含量测定法/蛋白质沉淀法/Western免疫印迹
需要,标准蛋白质还可预先用微量凯氏定氮法测定蛋白氮含量,计算出其纯度,再根据其纯度,称量配制成标准蛋白质溶液。牛血清清蛋白用H2O 或0.9%NaCl配制,酪蛋白用0.05N NaOH配制。(2)双缩脲试剂:称以1.50克硫酸铜(CuSO4•5H2O)和6.0克酒石酸钾钠(KNaC4H4O6•4H2O),用500毫升水溶解,在搅拌下加入300毫升10% NaOH溶液,用水稀释到1升,贮存于塑料瓶中(或内壁涂以石蜡的瓶中)。此试剂可长期保存。若贮存瓶中有黑色沉淀出现,则需要重新配制。2. 器材:可见光分光
技术资料暂无技术资料 索取技术资料






![TCR V alpha 12.1 antibody [6D6.6] (FITC)](https://img1.dxycdn.com/2022/0328/128/1870688306575500453-14.jpg!wh200)
![Hepatocyte Specific Antigen antibody [OCH1E5]](https://img1.dxycdn.com/2022/0328/150/7859498954244500453-14.jpg!wh200)



