相关产品推荐更多 >
万千商家帮你免费找货
0 人在求购买到急需产品
- 详细信息
- 文献和实验
- 技术资料
- 免疫原:
Purified recombinant fragment of human GAPDH expressed in E. Coli.
- 亚型:
IgG1
- 形态:
Liquid
- 保存条件:
Store as concentrated solution. Centrifuge briefly prior to opening vial. For short-term storage (1-2 weeks), store at 4ºC. For long-term storage, aliquot and store at -20ºC or below. Avoid multiple freeze-thaw cycles.
- 克隆性:
Monoclonal
- 标记物:
Unconjugated
- 适应物种:
Human
- 保质期:
12 months from the shipping date of the product.
- 抗原来源:
Human
- 目录编号:
GTX83245
- 级别:
Primary Antibodies
- 库存:
Available
- 供应商:
GeneTex
- 宿主:
Mouse
- 应用范围:
WB, ICC/IF, IHC-P, ELISA
- 靶点:
GAPDH
- 抗体英文名:
GAPDH antibody [1A10]
- 抗体名:
GAPDH 抗体 [1A10]
- 规格:
100 μl
WB analysis of HeLa (1), A549 (2), A431 (3), MCF-7 (4), K562 (5), Jurkat (6), HL60 (7), SKN-SH (8) and SKBR-3 (9) cell lysate using GTX83245 GAPDH antibody [1A10].
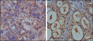
IHC-P analysis of human breast carcinoma (left) and kidney carcinoma (right) using GTX83245 GAPDH antibody [1A10].
ICC/IF analysis of methanol-fixed HepG2 (left) and HeLa (right) cells using GTX83245 GAPDH antibody [1A10].
Green : GAPDH
Blue: DRAQ5 fluorescent DNA dye
风险提示:丁香通仅作为第三方平台,为商家信息发布提供平台空间。用户咨询产品时请注意保护个人信息及财产安全,合理判断,谨慎选购商品,商家和用户对交易行为负责。对于医疗器械类产品,请先查证核实企业经营资质和医疗器械产品注册证情况。
文献和实验GAPDH抗体|GAPDH抗体大全-艾美捷指导您购买合适的GAPDH抗体
,但是进口品牌如Abcam、Millipore、CST等价格偏高,一般在¥3000/100ul左右。下面我们为您推荐三款GAPDH原装进口抗体,分别是美国EarthOx和ProteinTech的产品。EarthOx的Anti-GAPDH Monoclonal Antibody (货号E021010 )是小鼠源的单抗,其效价很高,厂商推荐的WB起始稀释比率为1:1000,实际应用过程中,有使用1:10000或更高的报告,远远高于此稀释比率,说明其免疫效价很高,另外,其检测种属也很多,包括人、牛、猪、小鼠
祝贺〖雅裕睿安〗成为Signalway Antibody(SAB)独家
antibody unconjugated; 货号21337,产品描述:GAPDH Antibody;规格 50 ul / 100 ul; 货号3052,产品描述:Rabbit anti-Human IgG secondary antibody HRP conjugated; 货号300904050,产品描述:One-Hour Western kit,10 ml / bottle x 3;
关于内参,已经有很多的帖子讨论,但是在我们的动物或细胞的模型中,总是有各种干扰的过程常常影响内参的表达,比如GAPDH就参与糖代谢,变性性疾病,凋亡等多种过程,如果我们的试验中存在这种过程干扰内参的表达,应该如何选择呢?Glyceraldehyde-3-phosphate dehydrogenase (GAPDH) antibody Glyseraldehyde-3-phosphate dehydrogenase (GAPDH) is a catalytic enzyme
技术资料暂无技术资料 索取技术资料









![HEBP1 antibody [N1C3]](https://img1.dxycdn.com/2022/0328/531/6615505716161300453-14.jpg!wh200)

