相关产品推荐更多 >
万千商家帮你免费找货
0 人在求购买到急需产品
- 详细信息
- 文献和实验
- 技术资料
- 免疫原:
Recombinant protein encompassing a sequence within the center region of human Histone H1.2. The exact sequence is proprietary.
- 亚型:
IgG
- 形态:
Liquid
- 保存条件:
Store as concentrated solution. Centrifuge briefly prior to opening vial. For short-term storage (1-2 weeks), store at 4ºC. For long-term storage, aliquot and store at -20ºC or below. Avoid multiple freeze-thaw cycles.
- 克隆性:
Polyclonal
- 标记物:
Unconjugated
- 适应物种:
Human
- 保质期:
12 months from the shipping date of the product.
- 抗原来源:
Human
- 目录编号:
GTX122561
- 级别:
Primary Antibodies
- 库存:
Available
- 供应商:
GeneTex
- 宿主:
Rabbit
- 应用范围:
WB, ICC/IF, IHC-P
- 浓度:
0.88 mg/ml (Please refer to the vial label for the specific concentration.)
- 靶点:
Histone H1.2
- 抗体英文名:
Histone H1.2 antibody
- 抗体名:
Histone H1.2 抗体
- 规格:
100 μl/25 μl
| 规格: | 100 μl | 产品价格: | ¥4000.0 |
|---|---|---|---|
| 规格: | 25 μl | 产品价格: | ¥1700.0 |
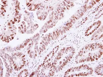
Immunohistochemical analysis of paraffin-embedded human colon carcinoma, using Histone H1.2(GTX122561) antibody at 1:250 dilution.
Antigen Retrieval: Trilogy™ (EDTA based, pH 8.0) buffer, 15min
Sample (30 ug of whole cell lysate)
A: HeLa
B: HeLa nucleus
12% SDS PAGE
GTX122561 diluted at 1:10000
Confocal immunofluorescence analysis (Olympus FV10i) of PFA-fixed HeLa, using Histone H1.2(GTX122561) antibody (Green) at 1:500 dilution. Alpha-tubulin filaments were labeled with GTX11304 (Red) at 1:2000.
风险提示:丁香通仅作为第三方平台,为商家信息发布提供平台空间。用户咨询产品时请注意保护个人信息及财产安全,合理判断,谨慎选购商品,商家和用户对交易行为负责。对于医疗器械类产品,请先查证核实企业经营资质和医疗器械产品注册证情况。
文献和实验Uggenti C et al., Nat Genet 2020 (PMID:33230297)
Xu H et al., PLoS Pathog 2019 (PMID:31841561)
Li Z et al., Cell Res 2018 (PMID:29844578)
Li YH et al., Front Oncol 2020 (PMID:32435614)
Histone Assay Solution (10 rxns) Amount [Final] Histone Wash Buffer 320 µL - Histone H1, 2 µg/µL 18 µl 0.1 µg/µL
组蛋白是和染色体相联的最主要的蛋白质。它的作用是和染色体中的 DNA 的负电荷结合。组蛋白是比较小的碱性蛋白;在细胞正常 pH 值时,组蛋白带有正电荷,这样它们就可以和 DNA 结合,这个正电荷主要存在于碱性氨基酸 Lys 和 Arg 的 -NH3 上。其实,组蛋白约含 25% 的 Arg 和 Lys 。比其他蛋白的 Arg , Lys 的含量都多。和真核 DNA 结合的有 5 种类型的组蛋白: H1 , H2A , H2B , H3
组蛋白是真核生物染色体的基本结构蛋白, 是一类小分子碱性蛋白质, 有五种类型:H1 、H2A 、H2B 、H3 、H4,它们富含带正电荷的碱性氨基酸, 能够同DNA中带负电荷的磷酸基团相互作用。 组蛋白的基因非常保守。亲缘关系较远的种属中, 四种组蛋白(H2A、H2A、H3、H4)氨基酸序列都非常相似, 如海胆组织H3的氨基酸序列与来自小牛胸腺的H3的氨基酸序列间只有一个氨基酸的差异, 小牛胸腺的H3的氨基酸序列与豌豆的H3也只有4个氨基酸不同。不同生物的H1序列变化
技术资料暂无技术资料 索取技术资料





![SARS-CoV-2 (COVID-19) Nucleocapsid antibody [HL5410] (Gold)](https://img1.dxycdn.com/2022/0329/893/6163250773788020453-14.jpg!wh200)
![PTP1B antibody [226]](https://img1.dxycdn.com/2022/0328/956/6412529411208700453-14.png!wh200)

![Hemoglobin beta C antibody [15C2.C11.F2.G11]](https://custom.dxycdn.com/trademd/upload/pic/2013/11/12/A1383891150.jpg!small.t.1)


