相关产品推荐更多 >
万千商家帮你免费找货
0 人在求购买到急需产品
- 详细信息
- 文献和实验
- 技术资料
- 免疫原:
Purified recombinant fragment of FGF2 expressed in E. Coli.
- 亚型:
IgG1
- 形态:
Liquid
- 保存条件:
Store as concentrated solution. Centrifuge briefly prior to opening vial. For short-term storage (1-2 weeks), store at 4ºC. For long-term storage, aliquot and store at -20ºC or below. Avoid multiple freeze-thaw cycles.
- 克隆性:
Monoclonal
- 标记物:
Unconjugated
- 适应物种:
Human
- 保质期:
12 months from the shipping date of the product.
- 抗原来源:
Human
- 目录编号:
GTX83243
- 级别:
Primary Antibodies
- 库存:
Available
- 供应商:
GeneTex
- 宿主:
Mouse
- 应用范围:
WB, IHC-P, ELISA
- 靶点:
FGF2
- 抗体英文名:
FGF2 antibody [2H5G2C11]
- 抗体名:
FGF2 抗体 [2H5G2C11]
- 规格:
100 μl
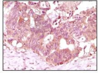
IHC-P analysis of human recturn adenocarcinoma tissue using GTX83243 FGF2 antibody [2H5G2C11].
WB analysis of truncated FGF2 recombinant protein using GTX83243 FGF2 antibody [2H5G2C11].
风险提示:丁香通仅作为第三方平台,为商家信息发布提供平台空间。用户咨询产品时请注意保护个人信息及财产安全,合理判断,谨慎选购商品,商家和用户对交易行为负责。对于医疗器械类产品,请先查证核实企业经营资质和医疗器械产品注册证情况。
文献和实验双特异抗体(Bispecific antibody)的简介和制作方法
contain two identical antigen-binding arms and a constant fragment, (Fc)g. The Fc part enables the antibody to function as an adaptor protein, linking antibody-bound cells to immune cells bearing Fcg receptors. Because there are different Fcg receptors
a 5-10 µg/ml solution of anti-CD3e (145-2C11) in sterile PBS. Calculate the number of wells required for each experimental condition and consider triplicate samples for each condition. For example, to coat one-half plate (48 wells) 2.6 ml of antibody
T-Cell Activation Using mAb to CD3
splenic T-cells and human peripheral T cells stimulated via CD3. Critical parameters include cell density, antibody titer and activation kinetics. Materials 1X sterile PBS Anti-mouse CD3e, Clone 145-2C11 (Functional Grade, Cat. No. 16
技术资料暂无技术资料 索取技术资料






![RPSA antibody [MLuC5]](https://img1.dxycdn.com/2022/0328/228/1006664140229300453-14.jpg!wh200)




