相关产品推荐更多 >
万千商家帮你免费找货
0 人在求购买到急需产品
- 详细信息
- 文献和实验
- 技术资料
- 免疫原:
Purified recombinant fragment of human ZAP70 expressed in E. Coli.
- 亚型:
IgG1
- 形态:
Liquid
- 保存条件:
Store as concentrated solution. Centrifuge briefly prior to opening vial. For short-term storage (1-2 weeks), store at 4ºC. For long-term storage, aliquot and store at -20ºC or below. Avoid multiple freeze-thaw cycles.
- 克隆性:
Monoclonal
- 标记物:
Unconjugated
- 适应物种:
Human
- 保质期:
12 months from the shipping date of the product.
- 抗原来源:
Human
- 目录编号:
GTX83218
- 级别:
Primary Antibodies
- 库存:
Available
- 供应商:
GeneTex
- 宿主:
Mouse
- 应用范围:
WB, IHC-P, ELISA
- 靶点:
ZAP70
- 抗体英文名:
ZAP70 antibody [3D2A4]
- 抗体名:
ZAP70 抗体 [3D2A4]
- 规格:
100 μl
WB analysis of Jurkat cell lysate using GTX83218 ZAP70 antibody [3D2A4].
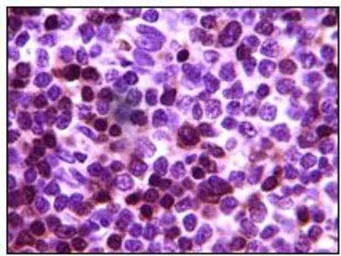
IHC-P analysis of human lymph tumor using GTX83218 ZAP70 antibody [3D2A4].
风险提示:丁香通仅作为第三方平台,为商家信息发布提供平台空间。用户咨询产品时请注意保护个人信息及财产安全,合理判断,谨慎选购商品,商家和用户对交易行为负责。对于医疗器械类产品,请先查证核实企业经营资质和医疗器械产品注册证情况。
文献和实验3D-FISH on Cultured Cells Combined with Immunostaining
have to be done to combine FISH and antibody staining successfully. The protocol suggested in this chapter describes three variants of combined 3D-FISH and immunostaining which have been successfully used in our laboratory for many years.
Standardized Sequence and Structure Analysis of Antibody Using IMGT
Standardized sequence and structure analysis of antibody using IMGT�, the international ImMunoGeneTics information system� (http://www.imgt.org), allows to bridge, for the first time, the gap between antibody sequences and three-dimensional
Immunization Protocol for Monoclonal Antibody Production
followed by i.v. or i.p. boost Saline/PBS i.v. 69 fusion 3d after i.v. boost or 4d after i.p. boost � i.v. 上一篇:Polyclonal Antibody Production 下一篇:The production
技术资料暂无技术资料 索取技术资料








![HMW Cytokeratin antibody [34βE12]](https://img1.dxycdn.com/2022/0328/657/4196919320934500453-14.jpg!wh200)


