相关产品推荐更多 >
万千商家帮你免费找货
0 人在求购买到急需产品
- 详细信息
- 文献和实验
- 技术资料
- 免疫原:
Purified recombinant fragment of Lipocalin 1 expressed in E. Coli.
- 亚型:
IgG1
- 形态:
Liquid
- 保存条件:
Store as concentrated solution. Centrifuge briefly prior to opening vial. For short-term storage (1-2 weeks), store at 4ºC. For long-term storage, aliquot and store at -20ºC or below. Avoid multiple freeze-thaw cycles.
- 克隆性:
Monoclonal
- 标记物:
Unconjugated
- 适应物种:
Human
- 保质期:
12 months from the shipping date of the product.
- 抗原来源:
Human
- 目录编号:
GTX83128
- 级别:
Primary Antibodies
- 库存:
Available
- 供应商:
GeneTex
- 宿主:
Mouse
- 应用范围:
WB, ICC/IF, IHC-P, ELISA
- 靶点:
Lipocalin 1
- 抗体英文名:
Lipocalin 1 antibody [10B10]
- 抗体名:
Lipocalin 1 抗体 [10B10]
- 规格:
100 μl
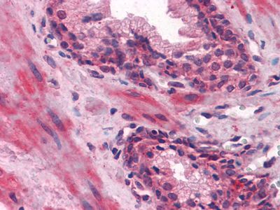
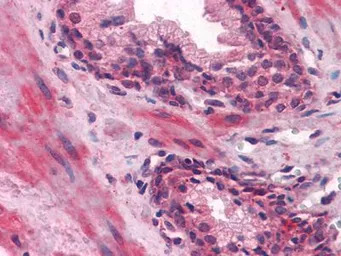
IHC-P analysis of human Prostate tissue using GTX83128 Lipocalin 1 antibody [10B10].
ICC/IF analysis of methanol-fixed HEK293 cells trasfected with LCN1-hIgGFc using GTX83128 Lipocalin 1 antibody [10B10].
Green : Lipocalin 1
Blue: DRAQ5 fluorescent DNA dye
WB analysis of HEK293 (1) and Lipocalin 1-hIgGFc transfected HEK293 cell lysate (2) using GTX83128 Lipocalin 1 antibody [10B10].
风险提示:丁香通仅作为第三方平台,为商家信息发布提供平台空间。用户咨询产品时请注意保护个人信息及财产安全,合理判断,谨慎选购商品,商家和用户对交易行为负责。对于医疗器械类产品,请先查证核实企业经营资质和医疗器械产品注册证情况。
文献和实验人Lipocalin-2 (NGAL)ELISA试剂盒 说明书
上海西唐生物科技有限公司 021-55229872, 65333639 www.westang.com 人 Lipocalin-2 ( NGAL )ELISA 试剂盒 ( 用于血清、血浆、细胞培养上清液和尿液、唾液生物体液内 ) 原理 本实验采用双抗体夹心 ABC-ELISA 法。用抗人 NGAL 单抗包被于酶标板上,标准品和样品中的 NGAL与单抗结合,加入生物素化的抗人
大鼠Lipocalin-2 (NGAL)ELISA试剂盒 说明书
上海西唐生物科技有限公司 021-55229872, 65333639 www.westang.com 大鼠 Lipocalin-2 (NGAL)ELISA 试剂盒 ( 用于血清、血浆、细胞培养上清液和尿液生物体液内 ) 原理 本实验采用双抗体夹心 ABC-ELISA 法。用抗大鼠 NGAL 单抗包被于酶标板上,标准品和样品中的 NGAL 与单抗结合,加入生物素化的抗大鼠 NGAL ,形成免疫复合
RUVKUN Antibody Staining Protocol revised 10/29/90
RUVKUN Antibody Staining Protocol revised 10/29/90 Fixation: 1. C. elegans N2 grown in liquid or plates. Harvest worms. Wash for 2 hours at room temp. in 1X M9 or PBS. 2. Fix in 5 ml of FRESH THAT DAY 1% paraformaldehyde:
技术资料暂无技术资料 索取技术资料








![GSK3 alpha antibody [GT1264]](https://img1.dxycdn.com/2022/0328/641/1806782592589700453-14.jpg!wh200)


