相关产品推荐更多 >
万千商家帮你免费找货
0 人在求购买到急需产品
- 详细信息
- 文献和实验
- 技术资料
- 免疫原:
Purified recombinant fragment of PEG10 (aa1-120) expressed in E. Coli.
- 亚型:
IgG1
- 形态:
Liquid
- 保存条件:
Store as concentrated solution. Centrifuge briefly prior to opening vial. For short-term storage (1-2 weeks), store at 4ºC. For long-term storage, aliquot and store at -20ºC or below. Avoid multiple freeze-thaw cycles.
- 克隆性:
Monoclonal
- 标记物:
Unconjugated
- 适应物种:
Human
- 保质期:
12 months from the shipping date of the product.
- 抗原来源:
Human
- 目录编号:
GTX83101
- 级别:
Primary Antibodies
- 库存:
Available
- 供应商:
GeneTex
- 宿主:
Mouse
- 应用范围:
WB, ICC/IF, IHC-P, ELISA
- 靶点:
PEG10
- 抗体英文名:
PEG10 antibody [1B1C4]
- 抗体名:
PEG10 抗体 [1B1C4]
- 规格:
100 μl
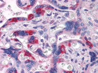
IHC-P analysis of human Placenta tissue using GTX83101 PEG10 antibody [1B1C4].
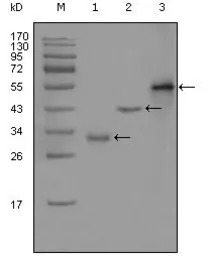
WB analysis of truncated Trx-PEG10 recombinant protein (1),truncated GST-PEG10 (aa1-120) recombinant protein (2) and full-length PEG10 (aa1-325)-hIgGFc transfected CHO-K1 cell lysate (3) using GTX83101 PEG10 antibody [1B1C4].
ICC/IF analysis of methanol-fixed HepG2 cells using GTX83101 PEG10 antibody [1B1C4].
Green : PEG10
Blue: DRAQ5 fluorescent DNA dye
风险提示:丁香通仅作为第三方平台,为商家信息发布提供平台空间。用户咨询产品时请注意保护个人信息及财产安全,合理判断,谨慎选购商品,商家和用户对交易行为负责。对于医疗器械类产品,请先查证核实企业经营资质和医疗器械产品注册证情况。
文献和实验补体成分 C4(C4a/C4b) 补体成分:C4 血清浓度(μg/ml):200~500 分子量(kDa):210 亚单位(链)及分子量(kDa):α:90β:78γ:33 激活产物:C4a;C4b 生物学活性:C4a 弱的过敏毒素作用 C4b 组成CP中的C3、C5转化
人整合素a1b1(Integrin a1b1)ELISA试剂盒 说明书
第一抗体工作液( Biotinylated Antibody ) 12ml 终止液 (Stop Solution ) 12ml 准备试剂与收集血样 1. 收集标本:血清、血浆(EDTA )、细胞培养上清液、组织匀浆等尽早检测, 2-8 ℃ 保存48 小时;更长时间须
上海西唐生物科技有限公司 021-55229872, 65333639 www.westang.com 大鼠补体 C4(C4)ELISA 试剂盒 ( 用于血清、血浆、细胞培养上清液和尿液生物体液内 ) 原理 本实验采用双抗体夹心 ABC-ELISA 法。用抗大鼠 C4 单抗包被于酶标板上,标准品和样品中的 C4 与单抗结合,加入生物素化的抗大鼠 C4 ,形成免疫复合物连接在板上,辣根
技术资料暂无技术资料 索取技术资料






![Clostridium perfringens Collagenase antibody [cp-02]](https://img1.dxycdn.com/2022/0328/387/7513636843546700453-14.jpg!wh200)


![UAP56 antibody [GT1320]](https://img1.dxycdn.com/2022/0328/667/0597278072040800453-14.jpg!wh200)

