相关产品推荐更多 >
万千商家帮你免费找货
0 人在求购买到急需产品
- 详细信息
- 文献和实验
- 技术资料
- 免疫原:
Purified recombinant fragment of human TIP60 expressed in E. Coli.
- 亚型:
IgG2b
- 形态:
Liquid
- 保存条件:
Store as concentrated solution. Centrifuge briefly prior to opening vial. For short-term storage (1-2 weeks), store at 4ºC. For long-term storage, aliquot and store at -20ºC or below. Avoid multiple freeze-thaw cycles.
- 克隆性:
Monoclonal
- 标记物:
Unconjugated
- 适应物种:
Human
- 保质期:
12 months from the shipping date of the product.
- 抗原来源:
Human
- 目录编号:
GTX83081
- 级别:
Primary Antibodies
- 库存:
Available
- 供应商:
GeneTex
- 宿主:
Mouse
- 应用范围:
WB, IHC-P, ELISA
- 靶点:
TIP60
- 抗体英文名:
TIP60 antibody [3F9]
- 抗体名:
TIP60 抗体 [3F9]
- 规格:
100 μl
WB analysis of truncated Tip60 recombinant protein using GTX83081 TIP60 antibody [3F9].
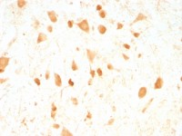
IHC-P analysis of human liver carcinoma (A), recturn carcinoma (B), normal medulla tissue (C) and normal interbrain tissue (D) using GTX83081 TIP60 antibody [3F9].
风险提示:丁香通仅作为第三方平台,为商家信息发布提供平台空间。用户咨询产品时请注意保护个人信息及财产安全,合理判断,谨慎选购商品,商家和用户对交易行为负责。对于医疗器械类产品,请先查证核实企业经营资质和医疗器械产品注册证情况。
文献和实验上海西唐生物科技有限公司 021-55229872, 65333639 www.westang.com 人热休克蛋白60 ( HSP60 )ELISA 试剂盒 原理 本实验采用双抗体夹心 ABC-ELISA 法。用抗人 HSP60 单抗包被于酶标板上,标准品和样品中的 HSP60与单抗结合,加入生物素化的抗人 HSP60 ,形成免疫复合物连接在板上,辣根
to 0.05, and zymolyase (100T) to 60 ug/ml. Incubate 1 hour at 37oC. Pellet spheroplasts as above. Resuspend in 10 mls Solution A and pellet again. Combine the suspension of whole cells with the spheroplasts and pellet as above. Resuspend in 10
Monoclonal Antibody Production
and screening of the hybridomas: 1. Bleeding Mice (1) Place the mouse in a mouse restrainer. (2) Sterilize the tail with 70% ethanol. (3) With a razor blade,nip off the last 2 mm of the tip of the tail. (4) Using a milking motion,pull blood down and let
技术资料暂无技术资料 索取技术资料







![PDGF Receptor alpha antibody [16A1] (APC)](https://img1.dxycdn.com/2022/0328/483/9364130914226500453-14.jpg!wh200)



