相关产品推荐更多 >
万千商家帮你免费找货
0 人在求购买到急需产品
- 详细信息
- 文献和实验
- 技术资料
- 免疫原:
Purified recombinant fragment of IGF1R-Beta expressed in E. Coli.
- 亚型:
IgG2b
- 形态:
Liquid
- 保存条件:
Store as concentrated solution. Centrifuge briefly prior to opening vial. For short-term storage (1-2 weeks), store at 4ºC. For long-term storage, aliquot and store at -20ºC or below. Avoid multiple freeze-thaw cycles.
- 克隆性:
Monoclonal
- 标记物:
Unconjugated
- 适应物种:
Human
- 保质期:
12 months from the shipping date of the product.
- 抗原来源:
Human
- 目录编号:
GTX83067
- 级别:
Primary Antibodies
- 库存:
Available
- 供应商:
GeneTex
- 宿主:
Mouse
- 应用范围:
WB, IHC-P, ELISA
- 靶点:
IGF1R
- 抗体英文名:
IGF1R antibody [3C8B1]
- 抗体名:
IGF1R 抗体 [3C8B1]
- 规格:
100 μl
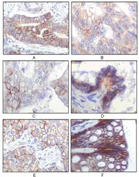
IHC-P analysis of human gastric adenocarcinoma(A), colon adenocarcinoma(B), endometrial carcinoma(uterus)(C), ovary adenocarcinoma(D), lung squamous cell carcinoma(E), stomach epithelium mucosae(F) using GTX83067 IGF1R antibody [3C8B1].
WB analysis of truncated IGF1R-Beta recombinant protein using GTX83067 IGF1R antibody [3C8B1].
风险提示:丁香通仅作为第三方平台,为商家信息发布提供平台空间。用户咨询产品时请注意保护个人信息及财产安全,合理判断,谨慎选购商品,商家和用户对交易行为负责。对于医疗器械类产品,请先查证核实企业经营资质和医疗器械产品注册证情况。
文献和实验2 瓶 底物工作液( TMB Solution ) 12ml 第一抗体工作液( Biotinylated Antibody ) 12ml 终止液 ( Stop Solution ) 12ml
人转化生长因子-b1(TGF-b1)ELISA试剂盒 说明书
ml 标准品 (Standards ) : 10ng/瓶 2 瓶 底物工作液(TMB Solution ) 12ml 第一抗体工作液( Biotinylated Antibody ) 12ml
大鼠转化生长因子-b1(TGF-b1)ELISA试剂盒 说明书
底物工作液( TMB Solution ) 12ml 第一抗体工作液( Biotinylated Antibody ) 12ml 终止液 ( Stop Solution ) 12ml 准备试剂与收集血样
技术资料暂无技术资料 索取技术资料











