相关产品推荐更多 >
万千商家帮你免费找货
0 人在求购买到急需产品
- 详细信息
- 技术资料
- 免疫原:
Purified recombinant fragment of human MYST1 expressed in E. Coli.
- 亚型:
IgG2b
- 形态:
Liquid
- 保存条件:
Store as concentrated solution. Centrifuge briefly prior to opening vial. For short-term storage (1-2 weeks), store at 4ºC. For long-term storage, aliquot and store at -20ºC or below. Avoid multiple freeze-thaw cycles.
- 克隆性:
Monoclonal
- 标记物:
Unconjugated
- 适应物种:
Human
- 保质期:
12 months from the shipping date of the product.
- 抗原来源:
Human
- 目录编号:
GTX83065
- 级别:
Primary Antibodies
- 库存:
Available
- 供应商:
GeneTex
- 宿主:
Mouse
- 应用范围:
WB, ICC/IF, IHC-P, ELISA
- 靶点:
MYST1
- 抗体英文名:
MYST1 antibody [8C4C4]
- 抗体名:
MYST1 抗体 [8C4C4]
- 规格:
100 μl
ICC/IF analysis of Eca 109 cells using GTX83065 MYST1 antibody [8C4C4].
Green : MYST1
Red : Actin filament
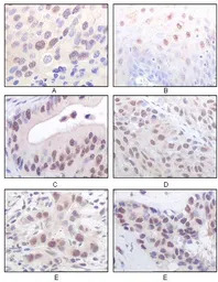
IHC-P analysis of human esophageal squamous cell carcinoma (A), normal esophagus epithelium (B), rectum adenocarcinoma (C), lung squamous cell carcinoma (D), breast infiltrating carcinoma (E), and breast infiltrating carcinoma (F) tissue using GTX83065 MYST1 antibody [8C4C4].
WB analysis of HeLa (1), HepG2 (2) and SMMC-7721 (3) cell lysate using GTX83065 MYST1 antibody [8C4C4].
风险提示:丁香通仅作为第三方平台,为商家信息发布提供平台空间。用户咨询产品时请注意保护个人信息及财产安全,合理判断,谨慎选购商品,商家和用户对交易行为负责。对于医疗器械类产品,请先查证核实企业经营资质和医疗器械产品注册证情况。
技术资料暂无技术资料 索取技术资料








![Mist1 antibody [6E8/A12/C11P1]](https://img1.dxycdn.com/2022/0328/960/8404842687065500453-14.jpg!wh200)


