相关产品推荐更多 >
万千商家帮你免费找货
0 人在求购买到急需产品
- 详细信息
- 文献和实验
- 技术资料
- 免疫原:
Purified recombinant fragment of EphB1 (aa19-133) expressed in E. Coli.
- 亚型:
IgG1
- 形态:
Liquid
- 保存条件:
Store as concentrated solution. Centrifuge briefly prior to opening vial. For short-term storage (1-2 weeks), store at 4ºC. For long-term storage, aliquot and store at -20ºC or below. Avoid multiple freeze-thaw cycles.
- 克隆性:
Monoclonal
- 标记物:
Unconjugated
- 适应物种:
Human
- 保质期:
12 months from the shipping date of the product.
- 抗原来源:
Human
- 目录编号:
GTX83049
- 级别:
Primary Antibodies
- 库存:
Available
- 供应商:
GeneTex
- 宿主:
Mouse
- 应用范围:
WB, IHC-P, ELISA
- 靶点:
It is only specific to EPHB1
- 抗体英文名:
EphB1 antibody [5F10A4]
- 抗体名:
EphB1 抗体 [5F10A4]
- 规格:
100 μl
WB analysis of MDA-MB-468 (1), MDA-MB-453 (2), MCF-7 (3), T47D (4) and SKBR-3 (5) cell lysate using GTX83049 EphB1 antibody [5F10A4].
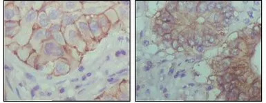
IHC-P analysis of human lung cancer (left) and colon cancer (right) using GTX83049 EphB1 antibody [5F10A4].
风险提示:丁香通仅作为第三方平台,为商家信息发布提供平台空间。用户咨询产品时请注意保护个人信息及财产安全,合理判断,谨慎选购商品,商家和用户对交易行为负责。对于医疗器械类产品,请先查证核实企业经营资质和医疗器械产品注册证情况。
文献和实验挑选14个克隆进行筛选,结果发现14个克隆均能与靶抗原有反应,其中以4(E4F4)、5(E5F5)、6(G4)、7(G5)、11(G9)克隆颜色较深,挑取6号克隆,利用APAAP法进一步检测其结合活性。结果显示,克隆6的表达产物能和Daudi细胞特异结合。克隆6的测序结果和氨基酸序列分析表明该基因序列完全符合PDB库中抗体所具有的若干保守的框架氨基酸的特点,该序列是一抗体基因序列。2、抗CD20嵌合抗体Fab和F(ab)2的表达与纯化SDS-PAGE电泳结果表明Protein G可有效纯化Fab
技术资料暂无技术资料 索取技术资料







![IL17A antibody [MT504] (Biotin)](https://img1.dxycdn.com/2022/0328/366/4010824969230800453-14.jpg!wh200)



