相关产品推荐更多 >
万千商家帮你免费找货
0 人在求购买到急需产品
- 详细信息
- 技术资料
- 免疫原:
KLH conjugated synthetic peptide between 94-125 amino acids from human PXN.
- 亚型:
IgG
- 形态:
Liquid
- 保存条件:
Store as concentrated solution. Centrifuge briefly prior to opening vial. For short-term storage (1-2 weeks), store at 4ºC. For long-term storage, aliquot and store at -20ºC or below. Avoid multiple freeze-thaw cycles.
- 克隆性:
Polyclonal
- 标记物:
Unconjugated
- 适应物种:
Human
- 保质期:
12 months from the shipping date of the product.
- 抗原来源:
Human
- 目录编号:
GTX81889
- 级别:
Primary Antibodies
- 库存:
Available
- 供应商:
GeneTex
- 宿主:
Rabbit
- 应用范围:
WB, IHC-P
- 浓度:
Batch dependent (Please refer to the vial label for the specific concentration.)
- 靶点:
Paxillin
- 抗体英文名:
Paxillin antibody
- 抗体名:
Paxillin 抗体
- 规格:
400 μl
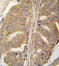
IHC-P analysis of human prostata carcinoma using GTX81889 Paxillin antibody.
WB analysis of 293 cell lysate (2 ug/lane) either nontransfected (Lane 1) or transiently transfected with Paxillin (Lane 2) using GTX81889 Paxillin antibody.
WB analysis of various samples using GTX81889 Paxillin antibody.
Lane 1: A431 whole cell lysate
Lane 2: MCF-7 whole cell lysate
Loading : 20 μg per lane
Dilution : 1:1000
风险提示:丁香通仅作为第三方平台,为商家信息发布提供平台空间。用户咨询产品时请注意保护个人信息及财产安全,合理判断,谨慎选购商品,商家和用户对交易行为负责。对于医疗器械类产品,请先查证核实企业经营资质和医疗器械产品注册证情况。
技术资料暂无技术资料 索取技术资料





![MyoD1 antibody [5.2F] (ready-to-use)](https://img1.dxycdn.com/2022/0328/405/0473645237010400453-14.jpg!wh200)

![MOB1B antibody [1H2]](https://img1.dxycdn.com/2022/0328/555/8170244310238500453-14.jpg!wh200)



