相关产品推荐更多 >
万千商家帮你免费找货
0 人在求购买到急需产品
- 详细信息
- 文献和实验
- 技术资料
- 免疫原:
KLH conjugated synthetic peptide between 2-32 amino acids from the N-terminal region of human GZMB.
- 亚型:
IgG
- 形态:
Liquid
- 保存条件:
Store as concentrated solution. Centrifuge briefly prior to opening vial. For short-term storage (1-2 weeks), store at 4ºC. For long-term storage, aliquot and store at -20ºC or below. Avoid multiple freeze-thaw cycles.
- 克隆性:
Polyclonal
- 标记物:
Unconjugated
- 适应物种:
Human, Mouse
- 保质期:
12 months from the shipping date of the product.
- 抗原来源:
Human
- 目录编号:
GTX81831
- 级别:
Primary Antibodies
- 库存:
Available
- 供应商:
GeneTex
- 宿主:
Rabbit
- 应用范围:
WB, IHC-P, FACS
- 浓度:
Batch dependent (Please refer to the vial label for the specific concentration.)
- 靶点:
Granzyme B
- 抗体英文名:
Granzyme B antibody, N-term
- 抗体名:
Granzyme B 抗体, N-term
- 规格:
400 μl
FACS analysis of HL-60 cells using GTX81831 Granzyme B antibody, N-term.
Green : primary antibody
Blue : negative control
WB analysis of mouse stomach lysate (35ug/lane) using GTX81831 Granzyme B antibody, N-term.
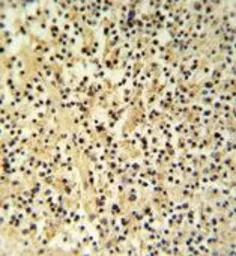
IHC-P analysis of human lymph tissue using GTX81831 Granzyme B antibody, N-term.
WB analysis of 293 cell lysate (2 ug/lane) either nontransfected (Lane 1) or transiently transfected with the Granzyme B (Lane 2) using GTX81831 Granzyme B antibody, N-term.
风险提示:丁香通仅作为第三方平台,为商家信息发布提供平台空间。用户咨询产品时请注意保护个人信息及财产安全,合理判断,谨慎选购商品,商家和用户对交易行为负责。对于医疗器械类产品,请先查证核实企业经营资质和医疗器械产品注册证情况。
文献和实验and virus-infected cells is the release of perforin and granzyme proteins. Perforin proteins form pores in the membranes of the attacked cell, allowing the entry of Granzyme A and Granzyme B. Granzyme B induces caspase activation and cleavage of factors
Immunodetection of Granzyme B Tissue Distribution and Cellular Localisation
Investigation of Granzyme B (GrB) function and pathophysiology in both human settings and rodent models increasingly involve the use of indirect immunofluorescence imaging and fluorescence-activated cell sorting, which requires reliable GrB
Detection of Human and Mouse Granzyme B Activity in Cell Extracts
The serine protease granzyme B (GrB) is a key effector molecule in cell-mediated immunity, released by cytotoxic lymphocytes (CLs) to induce cell death in neoplastic or virus-infected cells. The ability to detect and measure GrB activity
技术资料暂无技术资料 索取技术资料







![MyoD1 antibody [MSVA-801R] HistoMAX](https://custom.dxycdn.com/trademd/upload/pic/2013/11/12/A1383891150.jpg!small.t.1)



