相关产品推荐更多 >
万千商家帮你免费找货
0 人在求购买到急需产品
- 详细信息
- 文献和实验
- 技术资料
- 供应商:
上海康朗生物科技有限公司
- 库存:
大量
- 目录编号:
kl-1036R
- 克隆性:
多克隆
- 抗原来源:
Rabbit
- 保质期:
12个月
- 抗体英文名:
CD62L antibody
- 抗体名:
L选择素抗体
- 宿主:
Rabbit
- 适应物种:
Mouse, Rat, Cow, Rabbit,
- 免疫原:
KLH conjugated synthetic peptide derived from mouse CD62L (301-372aa):301-372/372 <Cytoplasmic>
- 亚型:
IgG
- 形态:
冻干粉或液体
- 应用范围:
WB=1:500-2000 ELISA=1:500-1000 IHC-P=1:400-800 IHC-F=1:400-800 Flow-Cyt=1μg/Test IF=1:100-500
- 浓度:
1mg/ml
- 保存条件:
-20 °C
- 规格:
50ul 100ul 200ul
| 中文名称 | L选择素抗体 |
| 别 名 | L-Selectin; A.11; AI528707; CD62 antigen ligand; CD62 antigen-like family member L; gp90 MEL; hLHRc; IgA nephropathy, susceptibility to, included; L Selectin; LAM1; LECAM1; LEU8; Leukocyte adhesion molecule 1; Leukocyte surface antigen Leu8; Leukocyte-endothelial cell adhesion molecule 1; LNHR; LSEL; Ly-22; Ly-m22; Lyam-1; LYAM1; Lymph node homing receptor; Lymphocyte adhesion molecule 1; Lymphocyte antigen 22; Lymphocyte surface MEL-14 antigen; PLNHR; Selectin L; Selectin, lymphocyte; SELL; TQ1; LYAM1_MOUSE. |
| 规格价格 | 50ul/780元 购买 100ul/1380元 购买 200ul/2200元 购买 大包装/询价 |
| 说 明 书 | 50ul 100ul 200ul |
| 研究领域 | 心血管 细胞生物 免疫学 干细胞 细胞表面分子 淋巴细胞 t-淋巴细胞 |
| 抗体来源 | Rabbit |
| 克隆类型 | Polyclonal |
| 交叉反应 | Mouse, Rat, Cow, Rabbit, |
| 产品应用 | WB=1:500-2000 ELISA=1:500-1000 IHC-P=1:400-800 IHC-F=1:400-800 Flow-Cyt=1μg/Test IF=1:100-500 (石蜡切片需做抗原修复) not yet tested in other applications. optimal dilutions/concentrations should be determined by the end user. |
| 分 子 量 | 37kDa |
| 细胞定位 | 细胞膜 |
| 性 状 | Lyophilized or Liquid |
| 浓 度 | 1mg/ml |
| 免 疫 原 | KLH conjugated synthetic peptide derived from mouse CD62L (301-372aa):301-372/372 <Cytoplasmic> |
| 亚 型 | IgG |
| 纯化方法 | affinity purified by Protein A |
| 储 存 液 | 0.01M TBS(pH7.4) with 1% BSA, 0.03% Proclin300 and 50% Glycerol. |
| 保存条件 | Store at -20 °C for one year. Avoid repeated freeze/thaw cycles. The lyophilized antibody is stable at room temperature for at least one month and for greater than a year when kept at -20°C. When reconstituted in sterile pH 7.4 0.01M PBS or diluent of antibody the antibody is stable for at least two weeks at 2-4 °C. |
| PubMed | PubMed |
| 产品介绍 | background: This gene encodes a cell surface adhesion molecule that belongs to a family of adhesion/homing receptors. The encoded protein contains a C-type lectin-like domain, a calcium-binding epidermal growth factor-like domain, and two short complement-like repeats. The gene product is required for binding and subsequent rolling of leucocytes on endothelial cells, facilitating their migration into secondary lymphoid organs and inflammation sites. Single-nucleotide polymorphisms in this gene have been associated with various diseases including immunoglobulin A nephropathy. Alternatively spliced transcript variants have been found for this gene. [provided by RefSeq, Oct 2009]. Function: Cell surface adhesion protein. Mediates the adherence of lymphocytes to endothelial cells of high endothelial venules in peripheral lymph nodes. Promotes initial tethering and rolling of leukocytes in endothelia. Subunit: Interaction with PSGL1/SELPLG and PODXL2 is required for promoting recruitment and rolling of leukocytes. This interaction is dependent on the sialyl Lewis X glycan modification of PSGL1 and PODXL2, and tyrosine sulfation modifications of PSGL1. Sulfation on 'Tyr-51' of PSGL1 is important for L-selectin binding. Subcellular Location: Membrane; Single-pass type I membrane protein. Tissue Specificity: Expressed in B-cell lines and T-lymphocytes. Similarity: Belongs to the selectin/LECAM family. Contains 1 C-type lectin domain. Contains 1 EGF-like domain. Contains 2 Sushi (CCP/SCR) domains. SWISS: P18337 Gene ID: 20343 Database links: Entrez Gene: 20343 Mouse SwissProt: P18337 Mouse Unigene: 1461 Mouse Important Note: This product as supplied is intended for research use only, not for use in human, therapeutic or diagnostic applications. 属于内皮细胞白细胞粘附分子,主要在淋巴细胞表达,淋巴细胞型选择素。< |
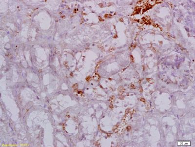
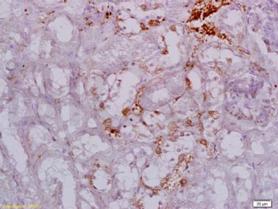
| 产品图片 | ![]() Sample: Lymph node (Mouse) Lysate at 40 ug Lymph node (Rat) Lysate at 40 ug Primary: Anti- CD62L (bs-1036R) at 1/300 dilution Secondary: IRDye800CW Goat Anti-Rabbit IgG at 1/20000 dilution Predicted band size: 37 kD Observed band size: 43 kD ![]() Tissue/cell: mouse kidney tissue; 4% Paraformaldehyde-fixed and paraffin-embedded; Antigen retrieval: citrate buffer ( 0.01M, pH 6.0 ), Boiling bathing for 15min; Block endogenous peroxidase by 3% Hydrogen peroxide for 30min; Blocking buffer (normal goat serum,C-0005) at 37℃ for 20 min; Incubation: Anti-L-Selectin Polyclonal Antibody, Unconjugated(bs-1036R) 1:200, overnight at 4°C, followed by conjugation to the secondary antibody(SP-0023) and DAB(C-0010) staining |
风险提示:丁香通仅作为第三方平台,为商家信息发布提供平台空间。用户咨询产品时请注意保护个人信息及财产安全,合理判断,谨慎选购商品,商家和用户对交易行为负责。对于医疗器械类产品,请先查证核实企业经营资质和医疗器械产品注册证情况。
文献和实验L 选择素 (CD62L)L选择素又称白细胞内皮细胞黏附分子别(LECAM-1)、淋巴结归巢受体和MEL-14。L选择素胞膜外区N端有1个C型凝集素样结构域,1个EGF样结构域和2个CCP结构域。CD62L表达于造血细胞某些分化阶段,包括大多数B细胞和未致敏T细胞以及大多数单核细胞、中性粒细胞和嗜酸粒细胞。PMA、细胞因子或趋化剂刺激淋巴细胞和中性粒细胞后,由于蛋白酶的酶解作用使CD62L迅速消失,而使血浆中可有很高水平的可溶型CD62L。CD62L通过N端C型凝集素样结构同与唾液
Generation of Antibody Molecules Through Antibody Engineering
been overcome to a large extent using genetic-engineering techniques to produce chimeric mouse/human and completely human antibodies. Such an approach is particularly suitable because of the domain structure of the antibody molecule ( 2 ), where functional
CD62E/CD62L/CD62P 分子 CD62E 常用单克隆抗体或代号: 3B7,4D1O;(E- selectin,ELAM- 1) 主要表达细胞: En [AS] 分子质量(kDa)和结构: gp110(C- lectin SF)结合白细胞ELS- 1 功 能: 粘附L- selectin,中性粒细胞通过结合CD15s结合到En CD62L 常用单克隆抗体或代号: Leu8,FMC46;(L-
技术资料暂无技术资料 索取技术资料












