相关产品推荐更多 >
万千商家帮你免费找货
0 人在求购买到急需产品
- 详细信息
- 文献和实验
- 技术资料
- 免疫原:
KLH conjugated synthetic peptide between 690-718 amino acids from the C-terminal region of human CD31.
- 亚型:
IgG
- 形态:
Liquid
- 保存条件:
Store as concentrated solution. Centrifuge briefly prior to opening vial. For short-term storage (1-2 weeks), store at 4ºC. For long-term storage, aliquot and store at -20ºC or below. Avoid multiple freeze-thaw cycles.
- 克隆性:
Polyclonal
- 标记物:
Unconjugated
- 适应物种:
Human
- 保质期:
12 months from the shipping date of the product.
- 抗原来源:
Human
- 目录编号:
GTX81432
- 级别:
Primary Antibodies
- 库存:
Available
- 供应商:
GeneTex
- 宿主:
Rabbit
- 应用范围:
WB, IHC-P, FACS
- 浓度:
Batch dependent (Please refer to the vial label for the specific concentration.)
- 靶点:
CD31
- 抗体英文名:
CD31 antibody, C-term
- 抗体名:
CD31 抗体, C-term
- 规格:
400 μl
WB analysis of HL-60 cell lysate (35ug/lane) using GTX81432 CD31 antibody, C-term.
FACS analysis of THP-1 cells using GTX81432 CD31 antibody, C-term.
Green : CD31
Blue : Isotype control
Fixation : 2% PFA (PFA) (10 min)
Dilution : 1:25
WB analysis of various samples using GTX81432 CD31 antibody, C-term.
Lane 1: Jurkat whole cell lysate
Lane 2: human lung lysate
Lane 3: THP-1 whole cell lysate
Loading : 20 μg per lane
Dilution : 1:2000
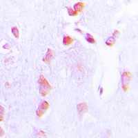
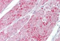
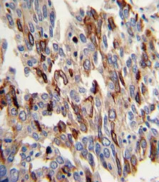
IHC-P analysis of human lung carcinoma using GTX81432 CD31 antibody, C-term.
风险提示:丁香通仅作为第三方平台,为商家信息发布提供平台空间。用户咨询产品时请注意保护个人信息及财产安全,合理判断,谨慎选购商品,商家和用户对交易行为负责。对于医疗器械类产品,请先查证核实企业经营资质和医疗器械产品注册证情况。
文献和实验Heng-Hsiung Wu et al., J Exp Med 2015 (PMID:25732306)
技术资料暂无技术资料 索取技术资料










