相关产品推荐更多 >
万千商家帮你免费找货
0 人在求购买到急需产品
- 详细信息
- 文献和实验
- 技术资料
- 免疫原:
KLH conjugated synthetic peptide between 476-502 amino acids from the C-terminal region of human CYP3A5.
- 亚型:
IgG
- 形态:
Liquid
- 保存条件:
Store as concentrated solution. Centrifuge briefly prior to opening vial. For short-term storage (1-2 weeks), store at 4ºC. For long-term storage, aliquot and store at -20ºC or below. Avoid multiple freeze-thaw cycles.
- 克隆性:
Polyclonal
- 标记物:
Unconjugated
- 适应物种:
Human
- 保质期:
12 months from the shipping date of the product.
- 抗原来源:
Human
- 目录编号:
GTX81287
- 级别:
Primary Antibodies
- 库存:
Available
- 供应商:
GeneTex
- 宿主:
Rabbit
- 应用范围:
WB, ICC/IF, IHC-P
- 浓度:
Batch dependent (Please refer to the vial label for the specific concentration.)
- 靶点:
Cytochrome P450 3A5
- 抗体英文名:
Cytochrome P450 3A5 antibody, C-term
- 抗体名:
Cytochrome P450 3A5 抗体, C-term
- 规格:
400 μl
ICC/IF analysis of 293 cells using GTX81287 Cytochrome P450 3A5 antibody, C-term.
Green : Cytochrome P450 3A5
Blue : DAPI
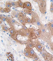
IHC-P analysis of human hepatocarcinoma using GTX81287 Cytochrome P450 3A5 antibody, C-term.
WB analysis of SK-BR-3 cell lysate using GTX81287 Cytochrome P450 3A5 antibody, C-term.
Loading : 35ug
Dilution : 1:1000
WB analysis of 293 cell lysate (35ug/lane) using GTX81287 Cytochrome P450 3A5 antibody, C-term.
风险提示:丁香通仅作为第三方平台,为商家信息发布提供平台空间。用户咨询产品时请注意保护个人信息及财产安全,合理判断,谨慎选购商品,商家和用户对交易行为负责。对于医疗器械类产品,请先查证核实企业经营资质和医疗器械产品注册证情况。
文献和实验Genotyping for Cytochrome P450 Polymorphisms
Protocols for the extraction of DNA from human blood and for genotyping for a number of common cytochrome P450 polymorphisms using either polymerase chain reaction (PCR)-restriction fragment length polymorphism or PCR-single-strand
In Vitro Identification of Cytochrome P450 Enzymes Responsible for Drug Metabolism
Metabolism catalyzed by the cytochrome P450 enzymes (CYPs) represents the most important pathway for drug metabolism and elimination in humans. Identification of the CYPs responsible for metabolism of existing and novel drugs is critical
小鼠细胞色素P450(Cytochrome P450)ELISA试剂盒 说明书
上海西唐生物科技有限公司 021-55229872, 65333639 www.westang.com 小鼠细胞色素P450 ( Cytochrome P450 )ELISA 试剂盒 原理 本实验采用双抗体夹心 ABC-ELISA 法。用抗小鼠 Cytochrome P450 单抗包被于酶标板上,标准品和样品中的 Cytochrome P450与单抗结合,加入生物素化的抗小鼠
技术资料暂无技术资料 索取技术资料











