相关产品推荐更多 >
万千商家帮你免费找货
0 人在求购买到急需产品
- 详细信息
- 文献和实验
- 技术资料
- 免疫原:
Recombinant protein corresponding to amino acids 1-190 of ubinuclein 1.
- 亚型:
IgG
- 形态:
Liquid
- 保存条件:
Store as concentrated solution. Centrifuge briefly prior to opening vial. Store at 4ºC. DO NOT FREEZE.
- 克隆性:
Monoclonal
- 标记物:
Unconjugated
- 适应物种:
Human
- 保质期:
12 months from the shipping date of the product.
- 抗原来源:
Human
- 目录编号:
GTX79859
- 级别:
Primary Antibodies
- 库存:
Available
- 供应商:
GeneTex
- 宿主:
Mouse
- 应用范围:
WB, IP
- 浓度:
1 mg/ml (Please refer to the vial label for the specific concentration.)
- 靶点:
This antibody recognizes N-terminal part of ubinuclein 1 (UBN1).
- 抗体英文名:
Ubinuclein 1 antibody [UBN1-02]
- 抗体名:
Ubinuclein 1 抗体 [UBN1-02]
- 规格:
100 μg
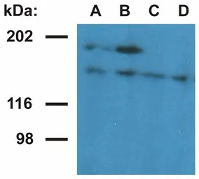
WB analysis of nuclear fraction of HeLa cells using GTX79859 Ubinuclein 1 antibody [UBN1-02].
Lane A, B : The monoclonal antibody UBN1-01
Lane C, D : GTX79859
Diultion : 1μg/ml (lane A and C) and 5μg/ml (lane B and D)
风险提示:丁香通仅作为第三方平台,为商家信息发布提供平台空间。用户咨询产品时请注意保护个人信息及财产安全,合理判断,谨慎选购商品,商家和用户对交易行为负责。对于医疗器械类产品,请先查证核实企业经营资质和医疗器械产品注册证情况。
文献和实验, which was detectable after 3 min of clivorine treatment. The results from the same membrane reprobed with total-p38 antibody demonstrated that the total amount of p38 MAP Kinase in L-02 cells was not changed. We also tested the effect of another pyrrolizidine alkaloid
抗子宫内膜抗体(endomethal antibody,EMAb)检测
子宫内膜抗体(endomethal antibody,EMAb)是子宫内膜异位病患者受到异位内膜的刺激,或经血逆流等因素导致免疫应答紊乱产生的一种自身抗体,并与子宫内膜中靶抗原结合,在补体参与下,引起子宫内膜免疫病理损伤,影响孕卵着床,也容易发生早期流产。目前检测EMAb的方法有间接免疫荧光法(1FT)、双向免疫扩散法(1D)、间接血凝法(PHA)及ELISA法等。IFF法需刮取子宫内膜制备抗原片,并需一定设备
,我们将推荐6个查找抗体的网站,帮大家解决找抗体难的问题! 01 Biocompare 网址:https://www.biocompare.com/ Biocompare(www.biocompare.com)不仅提供专门的生物试剂搜索工具,还有文章、产品评论、网络研讨会、视频和技术聚焦等资源,有兴趣的小伙伴可以从主页上方的目录栏进入各个板块进行探索。 02 CiteAb 网址:https://www.citeab.com/ CiteAb(www.citeab.com) 是由英国Bath
技术资料暂无技术资料 索取技术资料








![Rho GDI2 antibody [N1C3]](https://img1.dxycdn.com/2022/0328/876/9518028811994200453-14.jpg!wh200)


