相关产品推荐更多 >
万千商家帮你免费找货
0 人在求购买到急需产品
- 详细信息
- 文献和实验
- 技术资料
- 免疫原:
Recombinant protein encompassing a sequence within the center region of human IKK beta. The exact sequence is proprietary.
- 亚型:
IgG
- 形态:
Liquid
- 保存条件:
Store as concentrated solution. Centrifuge briefly prior to opening vial. For short-term storage (1-2 weeks), store at 4ºC. For long-term storage, aliquot and store at -20ºC or below. Avoid multiple freeze-thaw cycles.
- 克隆性:
Polyclonal
- 标记物:
Unconjugated
- 适应物种:
Human
- 保质期:
12 months from the shipping date of the product.
- 抗原来源:
Human
- 目录编号:
GTX107970
- 级别:
Primary Antibodies
- 库存:
Available
- 供应商:
GeneTex
- 宿主:
Rabbit
- 应用范围:
WB, ICC/IF, IHC-P, IP, PLA
- 浓度:
0.96 mg/ml (Please refer to the vial label for the specific concentration.)
- 靶点:
IKK beta
- 抗体英文名:
IKK beta antibody
- 抗体名:
IKK beta 抗体
- 规格:
100 μl/25 μl
| 规格: | 100 μl | 产品价格: | ¥4000.0 |
|---|---|---|---|
| 规格: | 25 μl | 产品价格: | ¥1700.0 |
Non-transfected (–) and transfected (+) 293T whole cell extracts (30 μg) were separated by 7.5% SDS-PAGE, and the membrane was blotted with IKK beta antibody (GTX107970) diluted at 1:10000. The HRP-conjugated anti-rabbit IgG antibody (GTX213110-01) was used to detect the primary antibody.
Immunoprecipitation of IKK beta protein from A431 whole cell extracts using 5 μg of IKK beta antibody (GTX107970).
Western blot analysis was performed using IKK beta antibody (GTX107970) diluted at 1:500.
EasyBlot anti-Rabbit IgG (GTX221666-01) was used as a secondary reagent.
IKK beta antibody detects IKK beta protein at cytoplasm by immunofluorescent analysis.
Sample: Jurkat cells were fixed in 4% PFA at RT for 15 min.
Green: IKK beta protein stained by IKK beta antibody (GTX107970) diluted at 1:500.
Blue: Hoechst 33342 staining.
IKK beta antibody detects IKBKB protein by Western blot analysis.
A. 30 μg Jurkat whole cell lysate/extract
B. 30 μg Raji whole cell lysate/extract
C. 30 μg K562 whole cell lysate/extract
D. 30 μg THP-1 whole cell lysate/extract
E. 30 μg NCI-H929 whole cell lysate/extract
10 % SDS-PAGE
IKK beta antibody (GTX107970) dilution: 1:1000
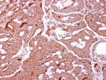
IKK beta antibody detects IKK beta protein at cytoplasm on human breast carcinoma by immunohistochemical analysis.
Sample: Paraffin-embedded human breast carcinoma.
IKK beta antibody (GTX107970) diluted at 1:500.
Antigen Retrieval: Trilogy™ (EDTA based, pH 8.0) buffer, 15min
风险提示:丁香通仅作为第三方平台,为商家信息发布提供平台空间。用户咨询产品时请注意保护个人信息及财产安全,合理判断,谨慎选购商品,商家和用户对交易行为负责。对于医疗器械类产品,请先查证核实企业经营资质和医疗器械产品注册证情况。
文献和实验Smaldone G et al., Sci Rep 2021 (PMID:34521919)
Sharma RK et al., Immunol Invest 2017 (PMID:29058549)
Chou LY et al., Cells 2022 (PMID:36291189)
Anticardiolipin Antibody and Anti-beta 2 Glycoprotein I Antibody Assays
) antibodies and anti-beta 2 glycoprotein I (β2-GPI) antibodies. Other autoantibodies, such as those directed against anionic phospholipids, can also be assayed; however they are not of clinical significance. Participation in a quality assurance
。 如果beta-catenin抗体不好使,或者EGFP太大影响定位的话,还可以构建Flag标签类载体,转染细胞,加入药物,用抗Flag抗体免疫荧光检测,荧光显微镜下观察就好了。 wangjh28 但按照事先的推测,处理了以后会下调该基因的表达 我觉得科学不能有事先的推测的结果,这样容易受思维定势的影响,而忽略了新发现 dongreyuan 我打算用SAB的β-catenin(Ab-37)Antibody,说明
in 200 mls Solution A. Repeat wash. Pellet cells as above and resuspend in 4 mls Solution A. Reserve 2 mls of the cell suspension. Spheroplast the remaining 2 ml of the cell suspension by addition of beta-mercaptoethanol to 0.1, glusulase
技术资料暂无技术资料 索取技术资料






![Calumenin antibody [4C6-G10-B12]](https://img1.dxycdn.com/2022/0329/835/0406218778984020453-14.jpg!wh200)
![ETS1 antibody [8A8]](https://img1.dxycdn.com/2022/0328/120/0063398654937500453-14.jpg!wh200)
![EGFR (phospho Tyr992) antibody [EM-12]](https://img1.dxycdn.com/2022/0328/553/3616781308106500453-14.jpg!wh200)


