相关产品推荐更多 >
万千商家帮你免费找货
0 人在求购买到急需产品
- 详细信息
- 文献和实验
- 技术资料
- 免疫原:
Recombinant protein encoding extracellular domain of human c-erbB2.
- 亚型:
IgG
- 形态:
Liquid
- 保存条件:
Store as concentrated solution. Centrifuge briefly prior to opening vial. Store at 4ºC.
- 克隆性:
Monoclonal
- 标记物:
Unconjugated
- 适应物种:
Human
- 保质期:
12 months from the shipping date of the product.
- 抗原来源:
Human
- 目录编号:
GTX79425
- 级别:
Primary Antibodies
- 库存:
Available
- 供应商:
GeneTex
- 宿主:
Rabbit
- 应用范围:
IHC-P
- 浓度:
Batch dependent (Please refer to the vial label for the specific concentration.)
- 靶点:
Her2 / ErbB2
- 抗体英文名:
Her2 / ErbB2 antibody [SP3] (ready-to-use)
- 抗体名:
Her2 / ErbB2 抗体 [SP3] (ready-to-use)
- 规格:
6 ml
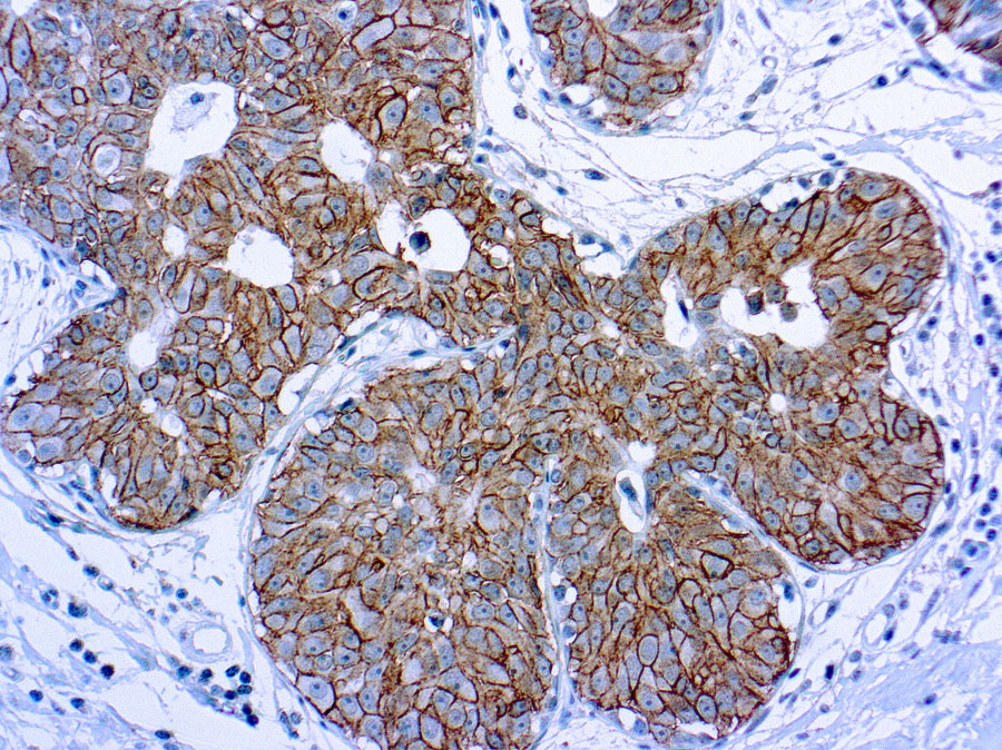
IHC-P analysis of human breast carcinoma tissue using GTX79425 Her2 / ErbB2 antibody [SP3] (ready-to-use).
风险提示:丁香通仅作为第三方平台,为商家信息发布提供平台空间。用户咨询产品时请注意保护个人信息及财产安全,合理判断,谨慎选购商品,商家和用户对交易行为负责。对于医疗器械类产品,请先查证核实企业经营资质和医疗器械产品注册证情况。
文献和实验Notes on Making Rat x Y3 Monoclonal Antibody Producing Hybridomas
throughout the procedure. d) Plate the entire fusion out in just 120 x 1ml cultures in 6 x 'Linbro' 24 well plates, using DMEM + 20% FCS (containing penniclin + streptomicin, Na pyruvate and glutamine). e) DO NOT use Isoves medium (IMDM) as this will encourage
, or diluted antibodies, are placed on the clean surface of parafilm. The grids are transferred from drop to drop on the parafilm. Make sure the sections do not dry out. The parafilm is kept covered until ready to use. Antibody Incubation
below. Blocking step 5 min Antibody 15 min PBS Wash 6 x 2 min Protein A Gold 15 min PBS Wash 6 x 2 min Water Wash 5 x 1 min. Blocking Any "sticky" protein can be used to cover non-specific binding sites
技术资料暂无技术资料 索取技术资料











