相关产品推荐更多 >
万千商家帮你免费找货
0 人在求购买到急需产品
- 详细信息
- 文献和实验
- 技术资料
- 免疫原:
Synthetic peptide corresponding to C-terminal residues D(894) D D N E D S M E I D D D L D(908) of S. cerevisiae HSP104.
- 亚型:
IgG
- 形态:
Liquid
- 保存条件:
Store as concentrated solution. Centrifuge briefly prior to opening vial. For short-term storage (1-2 weeks), store at 4ºC. For long-term storage, aliquot and store at -20ºC or below. Avoid multiple freeze-thaw cycles.
- 克隆性:
Polyclonal
- 标记物:
Unconjugated
- 适应物种:
Human, Yeast
- 保质期:
12 months from the shipping date of the product.
- 抗原来源:
Yeast
- 目录编号:
GTX79159
- 级别:
Primary Antibodies
- 库存:
Available
- 供应商:
GeneTex
- 宿主:
Rabbit
- 应用范围:
WB, IHC-P
- 靶点:
This antibody does not detect HSP100 from prokaryotes, nor certain plants and insects including Drosophila.
- 抗体英文名:
Heat Shock Protein 104 antibody [Antiserum 8-1]
- 抗体名:
Heat Shock Protein 104 抗体 [Antiserum 8-1]
- 规格:
100 μl
IHC-P analysis of human colon carcinoma with (left) or without (right) Heat Shock Protein 104 antibody [Antiserum 8-1] at a dilution of 1:100. To expose target proteins, heat induced antigen retrieval was performed using 10mM sodium citrate (pH6.0) buffer, microwaved for 8-15 minutes.
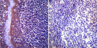
IHC-P analysis of human tonsil tissue with (left) or without (right) Heat Shock Protein 104 antibody [Antiserum 8-1] at a dilution of 1:100. To expose target proteins, heat induced antigen retrieval was performed using 10mM sodium citrate (pH6.0) buffer, microwaved for 8-15 minutes.
IHC-P analysis of human liver tissue with (left) or without (right) Heat Shock Protein 104 antibody [Antiserum 8-1] at a dilution of 1:200. To expose target proteins, heat induced antigen retrieval was performed using 10mM sodium citrate (pH6.0) buffer, microwaved for 8-15 minutes.
风险提示:丁香通仅作为第三方平台,为商家信息发布提供平台空间。用户咨询产品时请注意保护个人信息及财产安全,合理判断,谨慎选购商品,商家和用户对交易行为负责。对于医疗器械类产品,请先查证核实企业经营资质和医疗器械产品注册证情况。
文献和实验Substrate Tablete(antibody developed in goat) St. Louis,Mo 63178, USAAffinity isolated antibody adsorbed Lot # 043H6178With bovine horse and human serum protein Cat # 0h176Lot # 055H4835Lot # A-2179Tween 80Laboratories ,Detroit,Michigan ,USA1 drop of Tween
Strategies to Optimize Protein Expression in E. coli
. Biol. Chem. 277:50564‐50572. Phillips, T.A., Vanbogelen, R.A., and Neidhardt, F.C. 1984. Ion gene‐product of Escherichia coli is a heat‐shock protein. J. Bacteriol. 159:283
ANALYSIS OF PROTEINS BY IMMUNOPRECIPITATION
for studying conceptus interferons in the cow. J. Reprod. Immunol. 18 , 205-223. Edwards, J.L., Ealy, A.D., Monterroso, V.H., and Hansen, P.J. (1997) Ontogeny of temperature-regulated heat shock protein 70 synthesis in preimplantation bovine embryos. Mol
技术资料暂无技术资料 索取技术资料






![Progesterone Receptor (phospho Ser294) antibody [608]](https://img1.dxycdn.com/2022/0328/895/5791750751570400453-14.jpg!wh200)
![Androgen Receptor (ARv7 Splice Variant) antibody [HL1240]](https://img1.dxycdn.com/2022/0329/115/1513081384309020453-14.jpg!wh200)



