相关产品推荐更多 >
万千商家帮你免费找货
0 人在求购买到急需产品
- 详细信息
- 文献和实验
- 技术资料
- 免疫原:
The antiserum was produced against synthesized phosphopeptide derived from human Chk1 around the phosphorylation site of serine 345 (S-F-Sp-Q-P).
- 亚型:
IgG
- 形态:
Liquid
- 保存条件:
Store as concentrated solution. Centrifuge briefly prior to opening vial. For short-term storage (1-2 weeks), store at 4ºC. For long-term storage, aliquot and store at -20ºC or below. Avoid multiple freeze-thaw cycles.
- 克隆性:
Polyclonal
- 标记物:
Unconjugated
- 适应物种:
Human
- 保质期:
12 months from the shipping date of the product.
- 抗原来源:
Human
- 目录编号:
GTX79111
- 级别:
Primary Antibodies
- 库存:
Available
- 供应商:
GeneTex
- 宿主:
Rabbit
- 应用范围:
IHC-P
- 浓度:
Batch dependent (Please refer to the vial label for the specific concentration.)
- 靶点:
Chk1 (phospho Ser345)
- 抗体英文名:
Chk1 (phospho Ser345) antibody
- 抗体名:
Chk1 (phospho Ser345) 抗体
- 规格:
100 μg
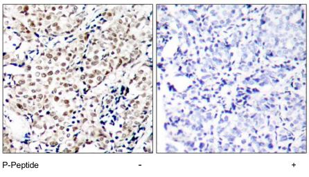
IHC-P analysis of human breast carcinoma tissue using GTX79111 Chk1 (phospho Ser345) antibody.
风险提示:丁香通仅作为第三方平台,为商家信息发布提供平台空间。用户咨询产品时请注意保护个人信息及财产安全,合理判断,谨慎选购商品,商家和用户对交易行为负责。对于医疗器械类产品,请先查证核实企业经营资质和医疗器械产品注册证情况。
文献和实验Methods for Studying Checkpoint Kinases Chk1
-terminal regulatory domain. Within the regulatory domain there are two residues, Serine-317 (S317) and Serine-345 (S345), which are phosphorylated in active Chk1 molecules, and subsequently dephosphorylated to inactivate Chk1 and allow mitotic entry
Mammalian CHK1 is a Ser/Thr effector kinase that plays critical roles in the DNA damage-activated cell cycle checkpoint signaling pathway downstream of ATR (ATM and Rad3-related protein kinase). This chapter is focused on describing an assay
throughout interphase but not in mitosis. The primary site for phosphorylation of cdc25 is at Ser216. Phosphorylated cdc25 binds to members of the 14-3-3 family of proteins which prevents its activation of cdc2. Chk1, a protein kinase involved in the DNA damage
技术资料暂无技术资料 索取技术资料









![Apolipoprotein A1 antibody [6001]](https://img1.dxycdn.com/2022/0328/575/4872795227707300453-14.jpg!wh200)

