相关产品推荐更多 >
万千商家帮你免费找货
0 人在求购买到急需产品
- 详细信息
- 文献和实验
- 技术资料
- 免疫原:
A synthetic peptide corresponding to a C-terminal region of Human Claudin 8
- 亚型:
IgG
- 形态:
Liquid
- 保存条件:
Store as concentrated solution. Centrifuge briefly prior to opening vial. For short-term storage (1-2 weeks), store at 4ºC. For long-term storage, aliquot and store at -20ºC or below. Avoid multiple freeze-thaw cycles.
- 克隆性:
Polyclonal
- 标记物:
Unconjugated
- 适应物种:
Human, Mouse
- 保质期:
12 months from the shipping date of the product.
- 抗原来源:
Human
- 目录编号:
GTX77832
- 级别:
Primary Antibodies
- 库存:
Available
- 供应商:
GeneTex
- 宿主:
Rabbit
- 应用范围:
WB, ICC/IF, IHC-P, IHC
- 浓度:
0.5-1 mg/ml (Please refer to the vial label for the specific concentration.)
- 靶点:
Claudin 8
- 抗体英文名:
Claudin 8 antibody, C-term
- 抗体名:
Claudin 8 抗体, C-term
- 规格:
100 μg
WB analysis of 293T cells using GTX77832 Claudin 8 antibody at 1.0μg/ml.
WB analysis of HepG2 cells using GTX77832 Claudin 8 antibody at 0.5-1.0μg/ml.
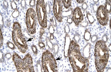
IHC-P analysis of human kidney tissue using GTX77832 Claudin 8 antibody at 4.0-8.0μg/ml.
IHC-P analysis of human intestine tissue using GTX77832 Claudin 8 antibody at 4.0-8.0μg/ml.
风险提示:丁香通仅作为第三方平台,为商家信息发布提供平台空间。用户咨询产品时请注意保护个人信息及财产安全,合理判断,谨慎选购商品,商家和用户对交易行为负责。对于医疗器械类产品,请先查证核实企业经营资质和医疗器械产品注册证情况。
文献和实验Dube E et al., Biol Reprod 2007 (PMID:17287494)
Xiaojun Zhuang et al., EBioMedicine 2022 (PMID:35124427)
Liu C et al., Nat Commun 2019 (PMID:31597917)
Li L et al., Inflamm Bowel Dis 2018 (Epub)
Wang H et al., Genome Biol 2016 (PMID:27029486)
Petersson F et al., Hum Pathol 2011 (PMID:21652056)
Lechpammer M et al., Mod Pathol 2008 (PMID:18587324)
Dube E et al., Biol Reprod 2008 (PMID:17928628)
Rohan S et al., Clin Cancer Res 2006 (PMID:17145811)
Hermo L et al., J Androl 2007 (PMID:17522420)
STM:广州医科大学刘铭/谢茂彬合作发现肝细胞癌的新潜在治疗靶点 Claudin 6
组于 Science Translational Medicine 杂志(STM)在线发表题为 Targeting tumor lineage plasticity in hepatocellular carcinoma using an anti-CLDN6 antibody-drug conjugate 的研究论文。这项研究揭示了细胞紧密连接(tight junction)蛋白 Claudin 6 通过调控肝癌细胞的谱系可塑性(lineage plasticity),促进肝癌进展与耐药的机制,并初步报道
There are a number of disadvantages with conventional tissue immunohistochemistry for accurate �localisation of claudin proteins. Traditionally, tissue cryopreservation or formaldehyde fixation with wax embedding is utilised
secondary antibody review -- data from 99 publications
cytometry used as a control to detect cell responses targeted antigen 7 Alexa Fluor 488 7 Cy3 8 goat IgG Alexa Fluor 488 1:2000 detect antibody binding in human embryonic kidney 293T cells Invitrogen 9 donkey
技术资料暂无技术资料 索取技术资料





![ADAM9 antibody [8A15]](https://img1.dxycdn.com/2022/0328/349/8411747756079400453-14.jpg!wh200)





