相关产品推荐更多 >
万千商家帮你免费找货
0 人在求购买到急需产品
- 详细信息
- 文献和实验
- 技术资料
- 免疫原:
Human tonsil cells and peripheral blood mononuclear cells.
- 亚型:
IgM
- 形态:
Liquid
- 保存条件:
Store as concentrated solution. Centrifuge briefly prior to opening vial. Store at 4ºC. DO NOT FREEZE.
- 克隆性:
Monoclonal
- 标记物:
Unconjugated
- 适应物种:
Human
- 保质期:
12 months from the shipping date of the product.
- 抗原来源:
Human
- 目录编号:
GTX76433
- 级别:
Primary Antibodies
- 库存:
Available
- 供应商:
GeneTex
- 宿主:
Mouse
- 应用范围:
IHC-Fr, FACS
- 浓度:
1 mg/ml (Please refer to the vial label for the specific concentration.)
- 靶点:
CD36
- 抗体英文名:
CD36 antibody [SMØ]
- 抗体名:
CD36 抗体 [SMØ]
- 规格:
200 μg
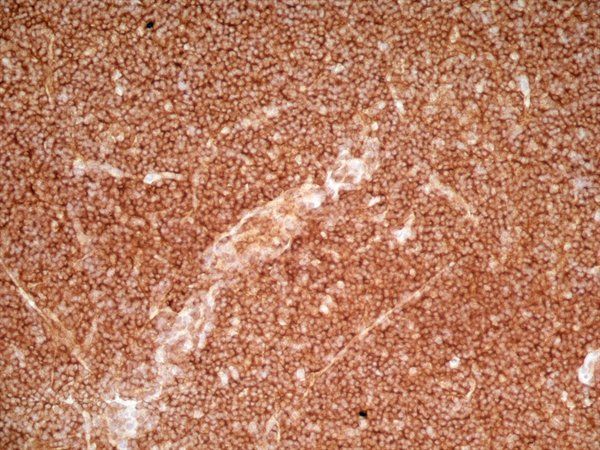
IHC-Fr analysis of human tonsil tissue using GTX76433 CD36 antibody [SMO].
FACS analysis of human peripheral blood monocytes using GTX76433 CD36 antibody [SMO].
IHC-Fr analysis of human tonsil tissue using GTX76433 CD36 antibody [SMO].
IHC-Fr analysis of human tonsil tissue using GTX76433 CD36 antibody [SMO].
风险提示:丁香通仅作为第三方平台,为商家信息发布提供平台空间。用户咨询产品时请注意保护个人信息及财产安全,合理判断,谨慎选购商品,商家和用户对交易行为负责。对于医疗器械类产品,请先查证核实企业经营资质和医疗器械产品注册证情况。
文献和实验人可溶性CD36 分子 ( sCD36 )ELISA 试剂盒 ( 用于血清、血浆、细胞培养上清液和其它生物体液内 ) 原理 本实验采用双抗体夹心 ABC-ELISA 法。用抗人 sCD36 单抗包被于酶标板上,标准品和样品中的 sCD36与单抗结合,加入生物素化的抗人 sCD36 ,形成免疫复合物连接在板上,辣根过氧化物酶标记的 Streptavidin 与生物素结合,加入底物工作液显蓝
小鼠可溶性CD36分子(sCD36)ELISA试剂盒 说明书
上海西唐生物科技有限公司 021-55229872, 65333639 www.westang.com 小鼠可溶性CD36 分子 ( sCD36 )ELISA 试剂盒 ( 用于血清、血浆、细胞培养上清液和其它生物体液内 ) 原理 本实验采用双抗体夹心 ABC-ELISA 法。用抗小鼠 sCD36 单抗包被于酶标板上,标准品和样品中的 sCD36与单抗结合,加入生物
抗核抗体(anti-nucleic antibody,ANA)检测
抗核抗体(anti-nucleic antibody,ANA)是以真核细胞的核成分为靶抗原的自身抗体的总称。细胞核内含有许多不同成分如核蛋白、核糖核蛋白(ribonucleo protein,RNP)、脱氧核糖核酸(DNA)等。 在某些因素,如细菌、病毒、药物等作用下,可改变细胞核某些成分的性质,激发机体免疫系统产生许多抗不同核成分的抗体。
技术资料暂无技术资料 索取技术资料







![Mucin 6 antibody [MUC6/1553R]](https://img1.dxycdn.com/2022/0328/908/5260187792359700453-14.jpg!wh200)

![Cyclin D1 antibody [N2C3]](https://img1.dxycdn.com/2022/0328/640/2643509380749200453-14.jpg!wh200)

