相关产品推荐更多 >
万千商家帮你免费找货
0 人在求购买到急需产品
- 详细信息
- 文献和实验
- 技术资料
- 免疫原:
Mouse spleen cells.
- 亚型:
IgG2a
- 形态:
Liquid
- 保存条件:
Store as concentrated solution. Centrifuge briefly prior to opening vial. For short-term storage (1-2 weeks), store at 4ºC. For long-term storage, aliquot and store at -20ºC or below. Avoid multiple freeze-thaw cycles.
- 克隆性:
Monoclonal
- 标记物:
Unconjugated
- 适应物种:
Mouse
- 保质期:
12 months from the shipping date of the product.
- 抗原来源:
Mouse
- 目录编号:
GTX74642
- 级别:
Primary Antibodies
- 库存:
Available
- 供应商:
GeneTex
- 宿主:
Rat
- 应用范围:
ICC/IF, IHC-Fr, FACS
- 浓度:
1 mg/ml (Please refer to the vial label for the specific concentration.)
- 靶点:
This antibody recognizes a non polymorphic epitope on the mouse CD8 alpha chain.
- 抗体英文名:
CD8 alpha antibody [YTS105.18]
- 抗体名:
CD8 alpha 抗体 [YTS105.18]
- 规格:
250 μg
IHC-Fr analysis of mouse lymph node with Rat anti Mouse Ly-6B.2 antibody, clone 7/4 , green in A and Rat anti Mouse CD8 antibody, clone YTS105.18 (GTX74642), red in B. C is the merged image with nuclei counterstained blue using DAPI. High power
IHC-Fr analysis of a mouse lymph node with Rat anti mouse CD19, clone 6D5 (GTX75012), green in A and Rat anti Mouse CD8 (GTX74642), red in B. Merged image in C wih nuclei counterstained blue using DAPI. Low power
IHC-Fr analysis of mouse lymph node tissue using GTX74642 CD8 alpha antibody [YTS105.18].
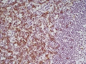
FACS analysis of mouse spleen cells using GTX74642 CD8 alpha antibody [YTS105.18].
IHC-Fr analysis of mouse lymph node tissue using GTX74642 CD8 alpha antibody [YTS105.18].
IHC-Fr analysis of mouse lymph node with Rat anti Mouse CD11b, clone 5C6, green in A and Rat anti Mouse CD8, clone YTS105.18 (GTX74642), red in B. C is the merged image with nuclei counterstained blue using DAPI. Low power
IHC-Fr analysis of mouse lymph node tissue using GTX74642 CD8 alpha antibody [YTS105.18].
IHC-Fr analysis of mouse lymph node with Rat anti Mouse CD11b, clone 5C6, green in A and Rat anti Mouse CD8, clone YTS105.18 (GTX74642), red in B. C is the merged image with nuclei counterstained blue using DAPI. High power
IHC-Fr analysis of a mouse lymph node with Rat anti mouse CD19, clone 6D5 (GTX75012), green in A and Rat anti Mouse CD8 (GTX74642), red in B. Merged image in C wih nuclei counterstained blue using DAPI. High power
IHC-Fr analysis of mouse lymph node using Rat anti Mouse CD11b antibody (GTX76454), green in A and Rat anti Mouse CD8 antibody (GTX74642), red in B, Merged image in C
风险提示:丁香通仅作为第三方平台,为商家信息发布提供平台空间。用户咨询产品时请注意保护个人信息及财产安全,合理判断,谨慎选购商品,商家和用户对交易行为负责。对于医疗器械类产品,请先查证核实企业经营资质和医疗器械产品注册证情况。
文献和实验Wu L et al., Theranostics 2022 (PMID:34976216)
Purification of Immature CD4+CD8+ Thymocytes by Panning with Anti-CD8 Antibody
Most T lymphocytes of the immune system differentiate within the thymus along the CD4/CD8 developmental pathway by a highly ordered process termed thymic selection ( 1 , 2 ). The maturation status of thymocytes is commonly assessed
In situ hybridisation to alpha satellite sequences (chromosome specific)
Alpha satellite sequences, whilst highly repetitive, are specific to each individual chromosome. These sequences flank the centromeres and can present a target measured in megabases. In this protocol a biotin or digoxigenin labelled DNA
盐酸硫胺 4.00 13 L-亮氨酸 105.00 29 盐酸吡哆辛 4.00 14 L-盐酸赖氨酸 146.00 30 葡萄糖 4500.00 15 L-甲硫氨酸 30.00 31 丙酮酸钠 110.00 16 L-苯丙氨酸 66.00 32 酚红 15.00 比较上述三种培养基的成分,我们可以看出alpha-MEM培养基中的成分比MEM和DMEM多很多,因此alpha-MEM培养基的价格也比较高。
技术资料暂无技术资料 索取技术资料






![LAG3 antibody [C9B7W]](https://img1.dxycdn.com/2022/0328/743/0433317086714400453-14.jpg!wh200)

![EGFR VIII antibody [HL2541]](https://custom.dxycdn.com/trademd/upload/pic/2013/11/12/A1383891150.jpg!small.t.1)
![PCBP3 antibody [N1C2]](https://img1.dxycdn.com/2022/0328/547/3949356541472300453-14.jpg!wh200)

