相关产品推荐更多 >
万千商家帮你免费找货
0 人在求购买到急需产品
- 详细信息
- 文献和实验
- 技术资料
- 免疫原:
BALB/C mice were immunized with ovarian carcinoma cell line, OTN11.
- 亚型:
IgG1
- 形态:
Liquid
- 保存条件:
Store as concentrated solution. Centrifuge briefly prior to opening vial. Store at 4ºC.
- 克隆性:
Monoclonal
- 标记物:
Unconjugated
- 适应物种:
Human
- 保质期:
12 months from the shipping date of the product.
- 抗原来源:
Human
- 目录编号:
GTX73668
- 级别:
Primary Antibodies
- 库存:
Available
- 供应商:
GeneTex
- 宿主:
Mouse
- 应用范围:
IHC-P
- 浓度:
Batch dependent (Please refer to the vial label for the specific concentration.)
- 靶点:
Cytokeratin 7
- 抗体英文名:
Cytokeratin 7 antibody [OV-TL 12/30]
- 抗体名:
Cytokeratin 7 抗体 [OV-TL 12/30]
- 规格:
1 ml
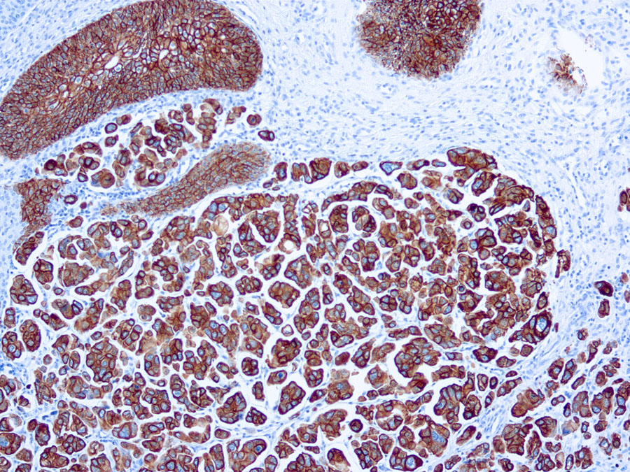
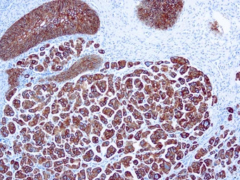
IHC-P analysis of human lung tissue using GTX73668 Cytokeratin 7 antibody [OV-TL 12/30].
风险提示:丁香通仅作为第三方平台,为商家信息发布提供平台空间。用户咨询产品时请注意保护个人信息及财产安全,合理判断,谨慎选购商品,商家和用户对交易行为负责。对于医疗器械类产品,请先查证核实企业经营资质和医疗器械产品注册证情况。
文献和实验+, CK-.f) Plasmacytomas are not uncommonly EMA+.Cytokeratin 7 (CK7) and Cytokeratin 20 (CK20)- Monoclonal antibodies: CK7 (OV-TL12/30) and CK20 (Ks20.8).- Source: Dakopatts.- Dilution 1:150 for CK7, and 1:100 for CK20.- Antigen retrieval method: HIER
Staining protocols for placental explant cultures
-cytokeratin 7 (OV-TL 12/30; Dako; use at 1/50). This identifies the outgrowing cells unequivocally as trophoblast. Anticytokeratin 8/18 can be used for marking cells (e.g CAM5.2, Beckton-Dickenson) but beware that some placental fibroblasts express this marker
Staining protocols for placental explant cultures
over the explant, preventing it from drying out. Antibody should be diluted in 4% BSA/PBS. A good positive control antibody is anti-cytokeratin 7 (OV-TL 12/30; Dako; use at 1/50). This identifies the outgrowing cells unequivocally as trophoblast. Anticytokeratin
技术资料暂无技术资料 索取技术资料







![LTBR antibody [5G11b] (PE)](https://img1.dxycdn.com/2022/0328/543/5229095100434400453-14.jpg!wh200)
![RPA70 antibody [8C3-D12-H10]](https://img1.dxycdn.com/2022/0329/416/4731548285584020453-14.jpg!wh200)


