相关产品推荐更多 >
万千商家帮你免费找货
0 人在求购买到急需产品
- 详细信息
- 文献和实验
- 技术资料
- 免疫原:
BALB/C mice were injected with N-terminal decapeptide of α-smooth muscle actin.
- 亚型:
IgG2a
- 形态:
Liquid
- 保存条件:
Store as concentrated solution. Centrifuge briefly prior to opening vial. Store at 4℃.
- 克隆性:
Monoclonal
- 标记物:
Unconjugated
- 适应物种:
Human, Mouse, Rat
- 保质期:
12 months from the shipping date of the product.
- 抗原来源:
Human
- 目录编号:
GTX73419
- 级别:
Primary Antibodies
- 库存:
Available
- 供应商:
GeneTex
- 宿主:
Mouse
- 应用范围:
IHC-P, IHC-Fr
- 浓度:
Batch dependent (Please refer to the vial label for the specific concentration.)
- 靶点:
alpha Smooth Muscle Actin
- 抗体英文名:
alpha Smooth Muscle Actin antibody [1A4] (ready-to-use)
- 抗体名:
alpha Smooth Muscle Actin 抗体 [1A4] (ready-to-use)
- 规格:
6 ml
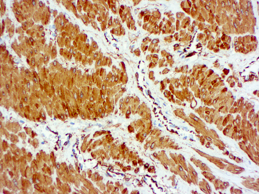
IHC-P analysis of human colon tissue using GTX73419 alpha Smooth Muscle Actin antibody [1A4] (ready-to-use).
风险提示:丁香通仅作为第三方平台,为商家信息发布提供平台空间。用户咨询产品时请注意保护个人信息及财产安全,合理判断,谨慎选购商品,商家和用户对交易行为负责。对于医疗器械类产品,请先查证核实企业经营资质和医疗器械产品注册证情况。
文献和实验S Kecsk?s et al., Front Aging Neurosci 2023 (PMID:37181624)
Varga DP et al., Neurobiol Dis 2020 (PMID:31991249)
by reaction with alkaline phosphatase-conjugated goat anti-mouse secondary antibody. Choose the actin pool broadly, however, consider also checking the column fractions by dot blot with mAB 3F2 to identify capping protein. Pool the actin fractions
Fluorescence Procedures for the Actin and Tubulin Cytoskeleton in Fixed Cells
immunofluorescence. Block in AbDil for 10'. Anti-tubulin for 20' - 30' (We use DM1alpha) Wash 4x TBST (TBST = TBS + 0.1% Triton X-100) Secondary for 20' - 30' Wash 4X TBST. Wash once with TBST + 1 ug/ml Hoechst
Protein purification: skeletal muscle myosin
Overview SKELETAL MUSCLE MYOSIN A two-headed hexomeric actin-activated ATPase consisting of two heavy chains of ~200 kDa and four light chains of ~20kDa. The tail portion
技术资料暂无技术资料 索取技术资料











