相关产品推荐更多 >
万千商家帮你免费找货
0 人在求购买到急需产品
- 详细信息
- 文献和实验
- 技术资料
- 免疫原:
Synthetic 16 amino acid peptide from 2nd extracellular domain of human LPAR6 / P2RY5.
- 亚型:
IgG
- 形态:
Liquid
- 保存条件:
Store as concentrated solution. Centrifuge briefly prior to opening vial. For short-term storage (1-2 weeks), store at 4ºC. For long-term storage, aliquot and store at -20ºC or below. Avoid multiple freeze-thaw cycles.
- 克隆性:
Polyclonal
- 标记物:
Unconjugated
- 适应物种:
Human
- 保质期:
12 months from the shipping date of the product.
- 抗原来源:
Human
- 目录编号:
GTX71897
- 级别:
Primary Antibodies
- 库存:
Available
- 供应商:
GeneTex
- 宿主:
Rabbit
- 应用范围:
IHC-P
- 浓度:
1 mg/ml (Please refer to the vial label for the specific concentration.)
- 靶点:
P2Y5
- 抗体英文名:
P2Y5 antibody
- 抗体名:
P2Y5 抗体
- 规格:
25 μg
IHC-P analysis of brain, cortex, neuron tissue using GTX71897 P2Y5 antibody.
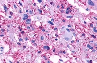
IHC-P analysis of brain, glioblastoma tissue using GTX71897 P2Y5 antibody.
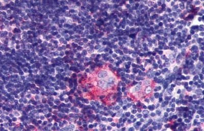
IHC-P analysis of human thymus tissue using GTX71897 P2Y5 antibody.
Antigen retrieval : Heat-induced antigen retrieval
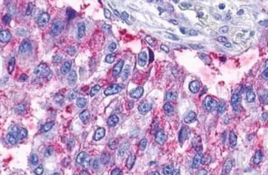
IHC-P analysis of human lung, adenocarcinoma tissue using GTX71897 P2Y5 antibody.
Antigen retrieval : Heat-induced antigen retrieval
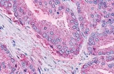
IHC-P analysis of human prostate, carcinoma tissue using GTX71897 P2Y5 antibody.
Antigen retrieval : Heat-induced antigen retrieval
风险提示:丁香通仅作为第三方平台,为商家信息发布提供平台空间。用户咨询产品时请注意保护个人信息及财产安全,合理判断,谨慎选购商品,商家和用户对交易行为负责。对于医疗器械类产品,请先查证核实企业经营资质和医疗器械产品注册证情况。
文献和实验Use of Radiolabeled 2-Methylthio-ADP to Study P2Y Receptors on Platelets and Cell Lines
study has demonstrated the ability of P2Y12 to bind 2MeS-ADP, supporting its identity as the previously named P2TAC or low-affinity platelet ADP receptor (14 ).
Prasugrel: A Novel Platelet ADP P2Y12 Receptor Antagonist
Novel adenosine diphosphate (ADP) P2Y12 antagonists such as prasugrel, ticagrelor, cangrelor, and elinogrel are in various phases of clinical development. These ADP P2Y12 antagonists have advantages over clopidogrel ranging from faster onset
Generation of Antibody Molecules Through Antibody Engineering
been overcome to a large extent using genetic-engineering techniques to produce chimeric mouse/human and completely human antibodies. Such an approach is particularly suitable because of the domain structure of the antibody molecule ( 2 ), where functional
技术资料暂无技术资料 索取技术资料







![GP2 antibody [MSVA-475M] HistoMAX](https://custom.dxycdn.com/trademd/upload/pic/2013/11/12/A1383891150.jpg!small.t.1)



