相关产品推荐更多 >
万千商家帮你免费找货
0 人在求购买到急需产品
- 详细信息
- 文献和实验
- 技术资料
- 免疫原:
Synthetic 17 amino acid peptide from N-terminal extracellular domain of human Delta Opioid Receptor.
- 亚型:
IgG
- 形态:
Liquid
- 保存条件:
Store as concentrated solution. Centrifuge briefly prior to opening vial. For short-term storage (1-2 weeks), store at 4ºC. For long-term storage, aliquot and store at -20ºC or below. Avoid multiple freeze-thaw cycles.
- 克隆性:
Polyclonal
- 标记物:
Unconjugated
- 适应物种:
Human
- 保质期:
12 months from the shipping date of the product.
- 抗原来源:
Human
- 目录编号:
GTX71799
- 级别:
Primary Antibodies
- 库存:
Available
- 供应商:
GeneTex
- 宿主:
Rabbit
- 应用范围:
IHC-P
- 浓度:
1 mg/ml (Please refer to the vial label for the specific concentration.)
- 靶点:
delta Opioid receptor
- 抗体英文名:
delta Opioid receptor antibody
- 抗体名:
delta Opioid receptor 抗体
- 规格:
25 μg
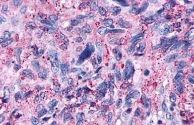
IHC-P analysis of human skin, melanoma tissue using GTX71799 delta Opioid receptor antibody.
Antigen retrieval : Heat-induced antigen retrieval
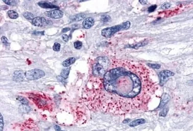
IHC-P analysis of brain, glioblastoma tissue using GTX71799 delta Opioid receptor antibody.
IHC-P analysis of human brain, neurons and glia tissue using GTX71799 delta Opioid receptor antibody.
Antigen retrieval : Heat-induced antigen retrieval
IHC-P analysis of human brain, glioblastoma tissue using GTX71799 delta Opioid receptor antibody.
Antigen retrieval : Heat-induced antigen retrieval
IHC-P analysis of brain, cortex neuron tissue using GTX71799 delta Opioid receptor antibody.
风险提示:丁香通仅作为第三方平台,为商家信息发布提供平台空间。用户咨询产品时请注意保护个人信息及财产安全,合理判断,谨慎选购商品,商家和用户对交易行为负责。对于医疗器械类产品,请先查证核实企业经营资质和医疗器械产品注册证情况。
文献和实验In Vitro Opioid Receptor Assays
analgesics have been used for centuries, identification of opioid receptors and the ability of an opioid receptor antagonist to block natural pain processes prompted a search for endogenous opioid peptides. In vitro models were needed to characterize opioid
Opioid Receptor Oligomerization: Detection and Functional Characterization of Interacting Receptors
Opioid receptors are members of the G-protein coupled receptor (GPCR) family characterized by the presence of seven transmembrane domains. These receptors are classified as mu (μ), delta (δ), and kappa (κ). Activation of these receptors leads
Identification of Alternatively Spliced Variants from Opioid Receptor Genes
Alternative splicing is commonly used in eucaryotic gene regulation. A single mouse μ opioid receptor gene (Oprm ) can generate 15 spliced variants by alternative splicing of its 14 exons (1 –6 ). Furthermore, the region-specific expression
技术资料暂无技术资料 索取技术资料











