相关产品推荐更多 >
万千商家帮你免费找货
0 人在求购买到急需产品
- 详细信息
- 文献和实验
- 技术资料
- 免疫原:
Synthetic 18 amino acid peptide from C-terminus of human MST1R / RON.
- 亚型:
IgG
- 形态:
Liquid
- 保存条件:
Store as concentrated solution. Centrifuge briefly prior to opening vial. For short-term storage (1-2 weeks), store at 4ºC. For long-term storage, aliquot and store at -20ºC or below. Avoid multiple freeze-thaw cycles.
- 克隆性:
Polyclonal
- 标记物:
Unconjugated
- 适应物种:
Human
- 保质期:
12 months from the shipping date of the product.
- 抗原来源:
Human
- 目录编号:
GTX71655
- 级别:
Primary Antibodies
- 库存:
Available
- 供应商:
GeneTex
- 宿主:
Rabbit
- 应用范围:
IHC-P
- 浓度:
1 mg/ml (Please refer to the vial label for the specific concentration.)
- 靶点:
RON
- 抗体英文名:
RON antibody
- 抗体名:
RON 抗体
- 规格:
25 μg
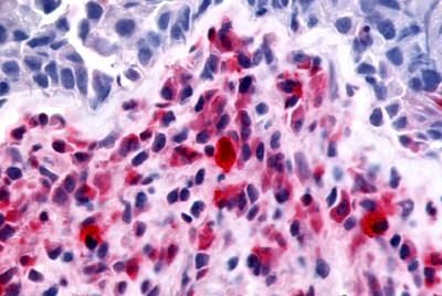
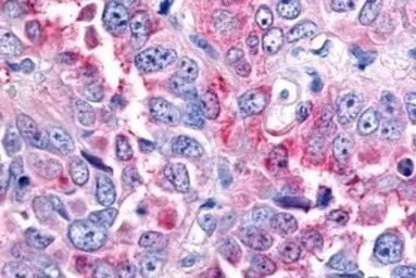
IHC-P analysis of human colon carcinoma tissue using GTX71655 RON antibody.
Antigen retrieval : Heat-induced antigen retrieval
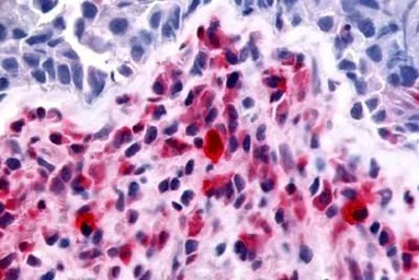
IHC-P analysis of small intestine, crohn's disease tissue using GTX71655 RON antibody.
IHC-P analysis of brain cortex neuron tissue using GTX71655 RON antibody.
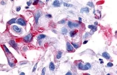
IHC-P analysis of human lung, non-small cell carcinoma tissue using GTX71655 RON antibody.
Antigen retrieval : Heat-induced antigen retrieval
IHC-P analysis of lung, bronchitis tissue using GTX71655 RON antibody.
IHC-P analysis of bone marrow, macrophages tissue using GTX71655 RON antibody.
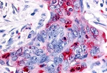
IHC-P analysis of human pancreas, carcinoma tissue using GTX71655 RON antibody.
Antigen retrieval : Heat-induced antigen retrieval
风险提示:丁香通仅作为第三方平台,为商家信息发布提供平台空间。用户咨询产品时请注意保护个人信息及财产安全,合理判断,谨慎选购商品,商家和用户对交易行为负责。对于医疗器械类产品,请先查证核实企业经营资质和医疗器械产品注册证情况。
文献和实验Generation of Antibody Molecules Through Antibody Engineering
been overcome to a large extent using genetic-engineering techniques to produce chimeric mouse/human and completely human antibodies. Such an approach is particularly suitable because of the domain structure of the antibody molecule ( 2 ), where functional
越高压电子显微镜 ultra-high voltage elect-ron microscope
一般指电子线加速电压在 200千伏以上的电子显微镜。现在是制作 3000千伏的超高压电子显微镜。普通的电子显微镜可用于观察 100纳米极薄的材料,而使用超高压电子显微镜就能进一步观察到更厚、更硬的材料。因为是超高压,所以可减少由电子线的非弹性散射对材料的损害,因而能观察到接近自然状态的材料。电压越高,电子线的波长就越短,因而提高了电子显微镜的分辨率,就有可能在分子水平或原子水平上观察生物体的结构因素。
The importance of antibody molecules was first recognized in the 1890s, when it was shown that immunity to tetanus and diphtheria was caused by antibodies against the bacterial exotoxins (1 ). Around the same time, it was shown that antisera
技术资料暂无技术资料 索取技术资料







![Glycophorin C antibody [Ret40f]](https://img1.dxycdn.com/2022/0328/588/2145265144140400453-14.jpg!wh200)



