相关产品推荐更多 >
万千商家帮你免费找货
0 人在求购买到急需产品
- 详细信息
- 文献和实验
- 技术资料
- 免疫原:
Synthetic 16 amino acid peptide from 3rd cytoplasmic domain of human ADORA3.
- 亚型:
IgG
- 形态:
Liquid
- 保存条件:
Store as concentrated solution. Centrifuge briefly prior to opening vial. For short-term storage (1-2 weeks), store at 4ºC. For long-term storage, aliquot and store at -20ºC or below. Avoid multiple freeze-thaw cycles.
- 克隆性:
Polyclonal
- 标记物:
Unconjugated
- 适应物种:
Human, Dog, Pig, Monkey, Horse
- 保质期:
12 months from the shipping date of the product.
- 抗原来源:
Human
- 目录编号:
GTX71651
- 级别:
Primary Antibodies
- 库存:
Available
- 供应商:
GeneTex
- 宿主:
Rabbit
- 应用范围:
IHC-P
- 浓度:
0.6 mg/ml (Please refer to the vial label for the specific concentration.)
- 靶点:
Adenosine A3 Receptor
- 抗体英文名:
Adenosine A3 Receptor antibody
- 抗体名:
Adenosine A3 Receptor 抗体
- 规格:
25 μg
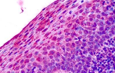
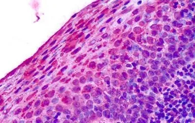
IHC-P analysis of human tonsil, squamous epithelium tissue using GTX71651 Adenosine A3 Receptor antibody.
Antigen retrieval : Heat-induced antigen retrieval
Dilution : 20-30 μg/ml
风险提示:丁香通仅作为第三方平台,为商家信息发布提供平台空间。用户咨询产品时请注意保护个人信息及财产安全,合理判断,谨慎选购商品,商家和用户对交易行为负责。对于医疗器械类产品,请先查证核实企业经营资质和医疗器械产品注册证情况。
文献和实验Characterization of P1 (Adenosine) Purinoceptors
. 251:888‐893. Kim, Y.C., Ji, X.D., and Jacobson, K.A. 1996. Derivatives of the triazoloquinazoline adenosine antagonist (CGS 15943) are selective for the human A3 receptor
of neurotransmitters. Adenosine acts as a general depressant in the brain. In contrast, adenosine receptor antagonists show somnolytic and stimulant properties. Although purinergic psychopharmaceuticals are rare, the nonselective adenosine receptor antagonist caffeine
For quite some time, the majority of GPCR models have been based on a single template structure: dark-adapted bovine rhodopsin. The recent solution of β2AR, β1AR and adenosine A2A receptor crystal structures has dramatically expanded the GPCR
技术资料暂无技术资料 索取技术资料







![Ring1 antibody [8C12F4]](https://img1.dxycdn.com/2022/0328/922/7196596308633500453-14.jpg!wh200)

![CD70 antibody [FR70] (PerCP-Cy5.5)](https://img1.dxycdn.com/2022/0328/662/3264436436876700453-14.jpg!wh200)

