相关产品推荐更多 >
万千商家帮你免费找货
0 人在求购买到急需产品
- 详细信息
- 文献和实验
- 技术资料
- 免疫原:
Synthetic 18 amino acid peptide from C-terminus of human RXFP4.
- 亚型:
IgG
- 形态:
Liquid
- 保存条件:
Store as concentrated solution. Centrifuge briefly prior to opening vial. For short-term storage (1-2 weeks), store at 4ºC. For long-term storage, aliquot and store at -20ºC or below. Avoid multiple freeze-thaw cycles.
- 克隆性:
Polyclonal
- 标记物:
Unconjugated
- 适应物种:
Human
- 保质期:
12 months from the shipping date of the product.
- 抗原来源:
Human
- 目录编号:
GTX71607
- 级别:
Primary Antibodies
- 库存:
Available
- 供应商:
GeneTex
- 宿主:
Rabbit
- 应用范围:
IHC-P
- 浓度:
1 mg/ml (Please refer to the vial label for the specific concentration.)
- 靶点:
GPR100
- 抗体英文名:
GPR100 antibody
- 抗体名:
GPR100 抗体
- 规格:
25 μg
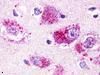
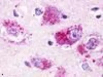
IHC-P analysis of human brain, neurons and glia tissue using GTX71607 GPR100 antibody.
Antigen retrieval : Heat-induced antigen retrieval
风险提示:丁香通仅作为第三方平台,为商家信息发布提供平台空间。用户咨询产品时请注意保护个人信息及财产安全,合理判断,谨慎选购商品,商家和用户对交易行为负责。对于医疗器械类产品,请先查证核实企业经营资质和医疗器械产品注册证情况。
文献和实验NSMB:徐华强 / 谢欣 / 蒋轶发现孤儿受体 GPR119 内源性配体的分子机制
糖尿病、脂肪肝和肥胖症等代谢性疾病已经成为影响人类健康的一大「杀手」,研究显示一些孤儿受体可能成为治疗这些疾病的重要靶点。 GPR119 又被称为葡萄糖依赖的促胰岛素受体(Glucose-dependent insulinotropic receptor),是 G 蛋白偶联受体(GPCR)超家族中的一种孤儿受体。由于其在糖代谢调控中的作用,GPR119 被认为是一种治疗糖尿病、脂肪肝和肥胖症等代谢性疾病的潜在药物靶点。GPR119 主要分布在胰岛 β 细胞和胃肠道 L 细胞,调节葡萄糖依赖
人S 蛋白100B (S-100B) 酶联免疫分析 试剂盒使用说明书 本试剂仅供研究使用 目的:本试剂盒用于测定人血清,血浆及相关液体样本中S 蛋白100B (S-100B) 的含量。 实验原理: 本试剂盒应用双抗体夹心法测定标本中人 S 蛋白 100B (S-100B) 水平。用纯化的人 S 蛋白 100B (S-100B) 抗体包被微孔板,制成固相抗体,往包被单抗的微孔中依次加入 S 蛋白 100
科研君们,当埋头实验几月找到了目标基因片段,电泳时条带却突然消失了;千辛万苦分离纯化的物质,色谱图中却意外出现杂质峰,苦苦查询,可能仍找不到问题原因。若问题只在小小的吸头上,科研君的心还能淡定吗? 吸头的问题在哪里,如何保证纯净无污染的吸头?需要考虑以下几方面因素: 一、 吸头材质 吸头市场上,原材料基本都是聚丙烯塑料(低吸附,化学惰性高,使用温度范围广,无色透明)。也许大家不知道的是,同样是聚丙烯,品质会有大的差别。高品质的吸头一般采用天然 100% 纯聚丙烯,而低廉的吸头则很多
技术资料暂无技术资料 索取技术资料






![CD11a antibody [M17/4] (FITC)](https://img1.dxycdn.com/2022/0328/231/8140889541595500453-14.jpg!wh200)


![CD34 antibody [4H11(APG)] (PE)](https://img1.dxycdn.com/2022/0328/267/3483369033428300453-14.jpg!wh200)

