相关产品推荐更多 >
万千商家帮你免费找货
0 人在求购买到急需产品
- 详细信息
- 文献和实验
- 技术资料
- 免疫原:
Synthetic 18 amino acid peptide from N-terminal extracellular domain of human ADRA2C.
- 亚型:
IgG
- 形态:
Liquid
- 保存条件:
Store as concentrated solution. Centrifuge briefly prior to opening vial. For short-term storage (1-2 weeks), store at 4ºC. For long-term storage, aliquot and store at -20ºC or below. Avoid multiple freeze-thaw cycles.
- 克隆性:
Polyclonal
- 标记物:
Unconjugated
- 适应物种:
Human, Monkey
- 保质期:
12 months from the shipping date of the product.
- 抗原来源:
Human
- 目录编号:
GTX71447
- 级别:
Primary Antibodies
- 库存:
Available
- 供应商:
GeneTex
- 宿主:
Rabbit
- 应用范围:
IHC-P
- 浓度:
1 mg/ml (Please refer to the vial label for the specific concentration.)
- 靶点:
alpha 2c Adrenergic Receptor
- 抗体英文名:
alpha 2c Adrenergic Receptor antibody
- 抗体名:
alpha 2c Adrenergic Receptor 抗体
- 规格:
25 μg
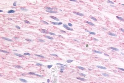
IHC-P analysis of human artery, smooth muscle tissue using GTX71447 alpha 2c Adrenergic Receptor antibody.
Antigen retrieval : Heat-induced antigen retrieval
风险提示:丁香通仅作为第三方平台,为商家信息发布提供平台空间。用户咨询产品时请注意保护个人信息及财产安全,合理判断,谨慎选购商品,商家和用户对交易行为负责。对于医疗器械类产品,请先查证核实企业经营资质和医疗器械产品注册证情况。
文献和实验Distribution of 2A- and 2C-Adrenergic Receptor Immunoreactivity in the Central Nervous System
in the regulation of analgesia, memory, and central cardiovascular control (1 ). Three subtypes of the receptor have been identified (α2A -, α2B -, and α2C -ARs; for review, see ref. 2 ). Comparisons of the three subtypes show a high degree of sequence similarity
Adrenergic receptors (ARs) are G-protein-coupled transmembrane glyco-proteins that play a key role in mediating the sympathoadrenal response to stress. Pharmacological studies have suggested the existence of multiple adrenergic receptor subtypes
Use of Immunohistochemistry and Confocal Microscopy in the Detection of Adrenergic Receptors
variety of these reagents, this becomes a relatively simple procedure. The procedure consists of a standard immunohistochemical protocol using the primary antibody against the adrenergic receptor followed by either fluorophore-tagged secondary antibody
技术资料暂无技术资料 索取技术资料






![Thrombomodulin antibody [MSVA-141M] HistoMAX](https://custom.dxycdn.com/trademd/upload/pic/2013/11/12/A1383891150.jpg!small.t.1)
![IL3 Receptor alpha antibody [10B8E7]](https://img1.dxycdn.com/2022/0328/235/5743246576343500453-14.jpg!wh200)



