相关产品推荐更多 >
万千商家帮你免费找货
0 人在求购买到急需产品
- 详细信息
- 文献和实验
- 技术资料
- 免疫原:
Synthetic 18 amino acid peptide from internal region of human MINK1 / MAP4K6.
- 亚型:
IgG
- 形态:
Liquid
- 保存条件:
Store as concentrated solution. Centrifuge briefly prior to opening vial. For short-term storage (1-2 weeks), store at 4ºC. For long-term storage, aliquot and store at -20ºC or below. Avoid multiple freeze-thaw cycles.
- 克隆性:
Polyclonal
- 标记物:
Unconjugated
- 适应物种:
Human, Mouse, Rat, Bovine, Pig, Monkey, Bat, Horse
- 保质期:
12 months from the shipping date of the product.
- 抗原来源:
Human
- 目录编号:
GTX70987
- 级别:
Primary Antibodies
- 库存:
Available
- 供应商:
GeneTex
- 宿主:
Rabbit
- 应用范围:
ICC/IF, IHC-P
- 浓度:
1 mg/ml (Please refer to the vial label for the specific concentration.)
- 靶点:
MAP4K6
- 抗体英文名:
MAP4K6 antibody
- 抗体名:
MAP4K6 抗体
- 规格:
25 μg
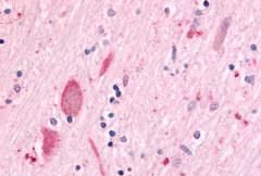
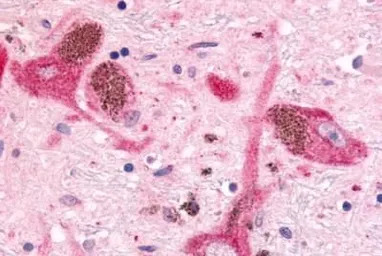
IHC-P analysis of brain, substantia nigra tissue using GTX70987 MAP4K6 antibody.
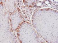
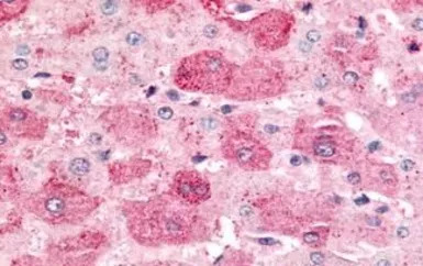
IHC-P analysis of human liver tissue using GTX70987 MAP4K6 antibody.
Antigen retrieval : Heat-induced antigen retrieval
IHC-P analysis of skin, melanoma tissue using GTX70987 MAP4K6 antibody.
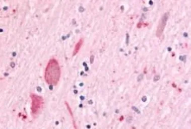
IHC-P analysis of brain, hypothalamus tissue using GTX70987 MAP4K6 antibody.
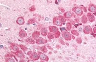
IHC-P analysis of human hippocampus tissue using GTX70987 MAP4K6 antibody.
Antigen retrieval : Heat-induced antigen retrieval
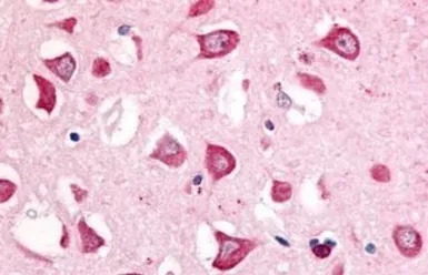
IHC-P analysis of rat hippocampus tissue using GTX70987 MAP4K6 antibody.
Antigen retrieval : Heat-induced antigen retrieval
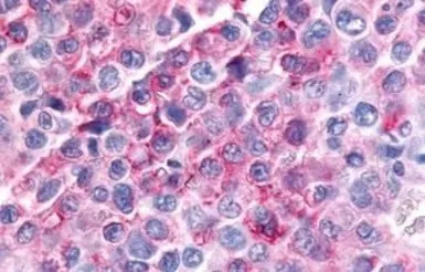
IHC-P analysis of human lymph node, non-hodgkins lymphoma tissue using GTX70987 MAP4K6 antibody.
Antigen retrieval : Heat-induced antigen retrieval
风险提示:丁香通仅作为第三方平台,为商家信息发布提供平台空间。用户咨询产品时请注意保护个人信息及财产安全,合理判断,谨慎选购商品,商家和用户对交易行为负责。对于医疗器械类产品,请先查证核实企业经营资质和医疗器械产品注册证情况。
文献和实验Hussain NK et al., J Neurosci 2010 (PMID:21048137)
技术资料暂无技术资料 索取技术资料






![Dynamin 1 antibody [3G4B6]](https://img1.dxycdn.com/2022/0328/828/7235425331557500453-14.jpg!wh200)



