相关产品推荐更多 >
万千商家帮你免费找货
0 人在求购买到急需产品
- 详细信息
- 询价记录
- 文献和实验
- 技术资料
- 免疫原:
Recombinant protein encompassing a sequence within the C-terminus region of human Glypican-3. The exact sequence is proprietary.
- 亚型:
IgG1
- 形态:
Liquid
- 保存条件:
Store as concentrated solution. Centrifuge briefly prior to opening vial. For short-term storage (1-2 weeks), store at 4ºC. For long-term storage, aliquot and store at -20ºC or below. Avoid multiple freeze-thaw cycles.
- 克隆性:
Monoclonal
- 标记物:
Unconjugated
- 适应物种:
Human
- 保质期:
12 months from the shipping date of the product.
- 抗原来源:
Human
- 目录编号:
GTX633410
- 级别:
Primary Antibodies
- 库存:
Available
- 供应商:
GeneTex
- 宿主:
Mouse
- 应用范围:
WB, ICC/IF, IHC-P
- 浓度:
0.4 mg/ml (Please refer to the vial label for the specific concentration.)
- 靶点:
Glypican-3
- 抗体英文名:
Glypican-3 antibody [GT2473]
- 抗体名:
Glypican-3 抗体 [GT2473]
- 规格:
100 μl/25 μl
| 规格: | 100 μl | 产品价格: | ¥4000.0 |
|---|---|---|---|
| 规格: | 25 μl | 产品价格: | ¥1700.0 |
Glypican-3 antibody [GT2473] detects Glypican-3 protein at cell membrane by immunofluorescent analysis.
Sample: HepG2 cells were fixed in 4% PFA at RT for 15 min.
Green: Glypican-3 protein stained by Glypican-3 antibody [GT2473] (GTX633410) diluted at 1:250.
Blue: Hoechst 33342 staining.
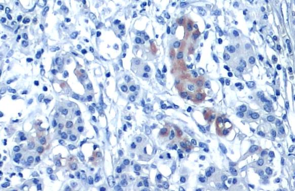
Glypican-3 antibody [GT2473] detects Glypican-3 protein at cytoplasm by immunohistochemical analysis.
Sample: Paraffin-embedded human pancreatic cancer.
Glypican-3 stained by Glypican-3 antibody [GT2473] (GTX633410) diluted at 1:200.
Antigen Retrieval: Citrate buffer, pH 6.0, 15 min
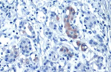
Glypican-3 antibody [GT2473] detects Glypican-3 protein at cytoplasm by immunohistochemical analysis (Autostainer Formulated).
Sample: Paraffin-embedded human liver cancer.
Glypican-3 stained by Glypican-3 antibody [GT2473] (GTX633410) diluted at 1:100.
Antigen Retrieval: Citrate buffer, 20 min
Untreated (–) and treated (+) HepG2 whole cell extracts (30 μg) were separated by 7.5% SDS-PAGE, and the membrane was blotted with Glypican-3 antibody [GT2473] (GTX633410) diluted at 1:2000. The HRP-conjugated anti-mouse IgG antibody (GTX213111-01) was used to detect the primary antibody.
风险提示:丁香通仅作为第三方平台,为商家信息发布提供平台空间。用户咨询产品时请注意保护个人信息及财产安全,合理判断,谨慎选购商品,商家和用户对交易行为负责。对于医疗器械类产品,请先查证核实企业经营资质和医疗器械产品注册证情况。
- 作者
- 内容
- 询问日期
文献和实验Xue Y et al., Am J Pathol 2018 (PMID:29577937)
IMMUNOSCREENING OF LAMBDA-GT11 BACTERIOPHAGE LIBRARIES WITH ANTIBODY PROBES
dishes of lysed E. coli to reduce anti-E. coli antibody background. These antibodies are present in all human sera, rabbit sera, and rodent sera. For each Petri dish containing solidified LB agar, mix 0.6ml of the Y1090 overnight-saturated culture with 30
Antibody Screening of Bacteriophage gt11 DNA Expression Libraries
Much of our current understanding of the molecular details of the activity and interactions of proteins has stemmed from the ability to isolate cDNA encoding these proteins. Computer-based analysis of deduced amino acid sequence allows
Antibody Screening of Bacteriophage gt-11 DNA Expression Libraries
Much of our current understanding of the molecular details of the activity and interactions of proteins has stemmed from the ability to isolate cDNA encoding these proteins. Computer-based analysis of deduced amino acid sequence allows
技术资料暂无技术资料 索取技术资料





![beta Tubulin 3/ Tuj1 antibody [TU-20]](https://img1.dxycdn.com/2022/0328/108/8703079016020400453-14.jpg!wh200)
![Histone H2A.Z antibody [RM215]](https://img1.dxycdn.com/2022/0329/967/7811748592155020453-14.jpg!wh200)

![Tristetraprolin antibody [3D10]](https://img1.dxycdn.com/2022/0328/083/0634713126287500453-14.jpg!wh200)
![Prostatic Acid Phosphatase antibody [MSVA-452M] HistoMAX](https://custom.dxycdn.com/trademd/upload/pic/2013/11/12/A1383891150.jpg!small.t.1)

