相关产品推荐更多 >
万千商家帮你免费找货
0 人在求购买到急需产品
- 详细信息
- 文献和实验
- 技术资料
- 免疫原:
Synthetic peptide corresponding to residues on the C-terminus in Human Apg12.
- 亚型:
IgG
- 形态:
Liquid
- 保存条件:
Store as concentrated solution. Centrifuge briefly prior to opening vial. For short-term storage (1-2 weeks), store at 4ºC. For long-term storage, aliquot and store at -20ºC or below. Avoid multiple freeze-thaw cycles.
- 克隆性:
Monoclonal
- 标记物:
Unconjugated
- 适应物种:
Human
- 保质期:
12 months from the shipping date of the product.
- 抗原来源:
Human
- 目录编号:
GTX62935
- 级别:
Primary Antibodies
- 库存:
Available
- 供应商:
GeneTex
- 宿主:
Rabbit
- 应用范围:
WB, ICC/IF, IHC-P
- 靶点:
ATG12
- 抗体英文名:
ATG12 antibody [EPR4800], C-term
- 抗体名:
ATG12 抗体 [EPR4800], C-term
- 规格:
100 μl
WB analysis of lysates from (1) Apg12-transfected and (2) non-transfected 293T cells (10 μg per lane) using Apg12 antibody [EPR4800] at a dilution of 1:1,000.
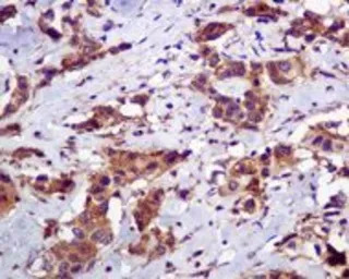
IHC-P analysis of human breast carcinoma using Apg12 antibody [EPR4800] at a dilution of 1:250.
风险提示:丁香通仅作为第三方平台,为商家信息发布提供平台空间。用户咨询产品时请注意保护个人信息及财产安全,合理判断,谨慎选购商品,商家和用户对交易行为负责。对于医疗器械类产品,请先查证核实企业经营资质和医疗器械产品注册证情况。
文献和实验Chung SD et al., PLoS One 2012 (PMID:23071780)
triggering cellular events including apoptosis, proliferation, and senescence. The molecular mechanism of O2 •– produced by electron transport chain components isolated from the inner membrane is investigated by the technique of EPR spin trapping
于研究。 性能参数 LIST OF ANTBODY PRODUCTS AP8401a BDP1 N-term Antibody AP8408b MEG2 C-term Antibody AP8451b PPP3CA C-term Antibody AP8449b CTDSP1 C-term Antibody AP8408a MEG2 N-term Antibody AP8451a PPP3CA N-term Antibody AP8449
12ml 10 ×标本稀释液( Sample Buffer ) 12ml 20 ×浓缩洗涤液( Wash Buffer ) 50ml 标准品( Standards ): 4800ng/ 瓶 2 瓶
技术资料暂无技术资料 索取技术资料





![CD146 antibody [5]](https://img1.dxycdn.com/2022/0328/495/0997785694318700453-14.png!wh200)
![UACA antibody [UACA/1222]](https://img1.dxycdn.com/2022/0328/489/1308739662341700453-14.jpg!wh200)




