相关产品推荐更多 >
万千商家帮你免费找货
0 人在求购买到急需产品
- 详细信息
- 文献和实验
- 技术资料
- 免疫原:
5-mC (5-methylcytosine) conjugated to BSA.
- 亚型:
IgG1
- 形态:
Liquid
- 保存条件:
Store as concentrated solution. Centrifuge briefly prior to opening vial. For short-term storage (1-2 weeks), store at 4ºC. For long-term storage, aliquot and store at -20ºC or below. Avoid multiple freeze-thaw cycles.
- 克隆性:
Monoclonal
- 标记物:
Unconjugated
- 适应物种:
Species independent
- 保质期:
12 months from the shipping date of the product.
- 目录编号:
GTX60803
- 级别:
Primary Antibodies
- 库存:
Available
- 供应商:
GeneTex
- 宿主:
Mouse
- 应用范围:
ICC/IF, Dot, FISH, MeDIP
- 浓度:
1.3 mg/ml (Please refer to the vial label for the specific concentration.)
- 靶点:
5-Methylcytosine / 5-mC
- 抗体英文名:
5-Methylcytosine / 5-mC antibody [GT9076]
- 抗体名:
5-Methylcytosine / 5-mC 抗体 [GT9076]
- 规格:
50 μg
ICC/IF analysis of 2.5% PFA fixed U2OS cells using GTX60803 5-Methylcytosine / 5-mC antibody [GT9076].
Figure A : cells were immunofluorescently labelled with the 5-mC antibody after incubation of the antibody with 50 μM mCTP (left) or with DAPI (right).
Figure B : staining of the cells with the 5-mC antibody after incubation of the antibody with 50 μM hmCTP and with DAPI.
Dilution : 1:500
Dot blot analysis of 4 - 100 ng (equivalent of 5 to 0.2 pmol of C-bases) hmC, mC and C controls using GTX60803 5-Methylcytosine / 5-mC antibody [GT9076].
Dilution : 1:600
FISH (Fluorescence in situ hybridization) analysis of metaphase chromosomes from HeLa cells (treated with 0.1 μg/ml colcemid for 1 - 2 hours) using GTX60803 5-Methylcytosine / 5-mC antibody [GT9076].
Red : Primary antibody
Blue : DAPI
Dilution : 1:1000
ICC/IF analysis of 4% PFA-fixed mouse embryos cells fixed in the one-cellular stage (after blocking with PBS containing 2% BSA, the cells were treated with 2N HCl) using GTX60803 5-Methylcytosine / 5-mC antibody [GT9076]. Both the maternal (M) and paternal (P) pronuclei are stained.
Left : Primary antibody
Right : Anti- single stranded DNA antibody
Permeabilization : 0.5% Triton X-100 for 30 mins
Dilution : 1:200
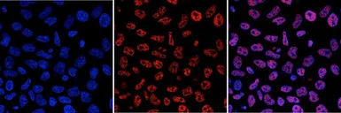
ICC/IF analysis of 4% PFA fixed HeLa cells using GTX60803 5-Methylcytosine / 5-mC antibody [GT9076].
Red : Primary antibody
Blue : DAPI
Dilution : 1:1000
风险提示:丁香通仅作为第三方平台,为商家信息发布提供平台空间。用户咨询产品时请注意保护个人信息及财产安全,合理判断,谨慎选购商品,商家和用户对交易行为负责。对于医疗器械类产品,请先查证核实企业经营资质和医疗器械产品注册证情况。
文献和实验Southern Blotting(Fred Hutchinson Cancer Research Cente
with Blot Wash #1: 2 x 5' at room temp (RT). 3. Wash with Blot Wash #2: 2 x 15' at 55℃. 4. Wash with Buffer 1: briefly (1') at RT. 5. (Optional; see above) Block with Buffer 2: 30' (O/N okay) Save and store at 4℃. 6. Incubate with antibody-conjugate
Phage‐Based Expression Cloning to Identify Interacting Proteins
the interacting protein. This technique leads directly to the isolation of a cDNA encoding the interacting protein, bypassing the need for labor?intensive protein purification, microsequencing, or antibody production.
( min X….Mouse, Rat Sr Prot )。 以下是圆括号中所使用的一些简称: Bov = Bovine Ck = Chicken Gt = Goat GP = Guinea Pig Sy Hms = Syrian Hamster Hrs = Horse Hu = Human Ms = Mouse Rb = Rabbit Shp
技术资料暂无技术资料 索取技术资料





![TLR8 antibody [44C143]](https://img1.dxycdn.com/2022/0328/597/5599447404493300453-14.jpg!wh200)





