相关产品推荐更多 >
万千商家帮你免费找货
0 人在求购买到急需产品
- 详细信息
- 文献和实验
- 技术资料
- 免疫原:
Purified recombinant fragment of human CD166 (AA: 48-216) expressed in E. Coli.
- 亚型:
IgG2a
- 形态:
Liquid
- 保存条件:
Store as concentrated solution. Centrifuge briefly prior to opening vial. For short-term storage (1-2 weeks), store at 4ºC. For long-term storage, aliquot and store at -20ºC or below. Avoid multiple freeze-thaw cycles.
- 克隆性:
Monoclonal
- 标记物:
Unconjugated
- 适应物种:
Human
- 保质期:
12 months from the shipping date of the product.
- 抗原来源:
Human
- 目录编号:
GTX60782
- 级别:
Primary Antibodies
- 库存:
Available
- 供应商:
GeneTex
- 宿主:
Mouse
- 应用范围:
WB, ICC/IF, IHC-P, FACS, ELISA
- 浓度:
1 mg/ml (Please refer to the vial label for the specific concentration.)
- 靶点:
CD166
- 抗体英文名:
CD166 antibody [8E12C7]
- 抗体名:
CD166 抗体 [8E12C7]
- 规格:
100 μg
ELISA analysis of antigen using GTX60782 CD166 antibody [8E12C7].
Black : Control antigen 100ng
Purple : Antigen 10ng
Blue : Antigen 50ng
Red : Antigen 100ng
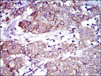
IHC-P analysis of bladder cancer tissue using GTX60782 CD166 antibody [8E12C7].
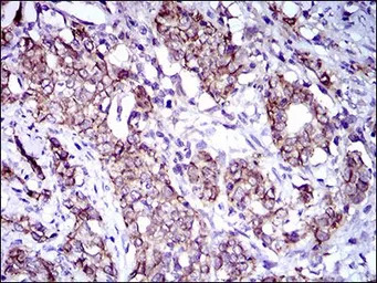
IHC-P analysis of cervical cancer tissue using GTX60782 CD166 antibody [8E12C7].
FACS analysis of JURKAT cells using GTX60782 CD166 antibody [8E12C7].
Green : CD166
Red : negative control
ICC/IF analysis of HeLa cells using GTX60782 CD166 antibody [8E12C7].
Green : CD166
Blue: DRAQ5 fluorescent DNA dye
WB analysis of HEK293 (1) and CD166(AA: 48-216)-hIgGFc transfected HEK293 (2) cell lysate using GTX60782 CD166 antibody [8E12C7].
风险提示:丁香通仅作为第三方平台,为商家信息发布提供平台空间。用户咨询产品时请注意保护个人信息及财产安全,合理判断,谨慎选购商品,商家和用户对交易行为负责。对于医疗器械类产品,请先查证核实企业经营资质和医疗器械产品注册证情况。
文献和实验stromal stem cell 。 3 利用流式细胞仪的研究显示,MSCs 属混杂细胞群,其表面抗原也具有非专一性, 它表达了间质细胞、内皮细胞和表皮细胞的表面标志。主要包括: ①黏附分子, 如CD166 、CD54 、CD102 、CD44 、CD106 等。②生长因子和细胞因子受体, 如白介素21 受体( IL-1R ) 、IL-3R 、IL-4R 、IL-6R 、IL-7R 、C 干扰素受体( IFN-CR) 、肿瘤坏死因子(TNF) -A 等。③整合素家族
技术资料暂无技术资料 索取技术资料






![ZNF157 antibody [N3C3]](https://img1.dxycdn.com/2022/0328/227/5514395381925200453-14.jpg!wh200)


![Macro H2A.2 antibody [N3C3]](https://img1.dxycdn.com/2022/0328/626/0846117514761300453-14.jpg!wh200)

