相关产品推荐更多 >
万千商家帮你免费找货
0 人在求购买到急需产品
- 详细信息
- 文献和实验
- 技术资料
- 免疫原:
A synthetic peptide made to an internal region within residues 500-600 of human OPA1. [Swiss-Prot# O60313]
- 亚型:
IgG
- 形态:
Liquid
- 保存条件:
Store as concentrated solution. Centrifuge briefly prior to opening vial. For short-term storage (1-2 weeks), store at 4ºC. For long-term storage, aliquot and store at -20ºC or below. Avoid multiple freeze-thaw cycles.
- 克隆性:
Polyclonal
- 标记物:
Unconjugated
- 适应物种:
Human, Mouse, Rat, Zebrafish, Chicken, Pig, Primate
- 保质期:
12 months from the shipping date of the product.
- 抗原来源:
Human
- 目录编号:
GTX48589
- 级别:
Primary Antibodies
- 库存:
Available
- 供应商:
GeneTex
- 宿主:
Rabbit
- 应用范围:
WB, IHC-P
- 浓度:
1 mg/ml (Please refer to the vial label for the specific concentration.)
- 靶点:
OPA1
- 抗体英文名:
OPA1 antibody
- 抗体名:
OPA1 抗体
- 规格:
50 μl
WB analysis of MEF cell lysate using GTX48589 OPA1 antibody.
WB analysis of HeLa, MEF cells, and rat brain tissue lysate using GTX48589 OPA1 antibody.
Dilution : 1 μg/ml
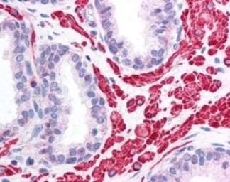
IHC-P analysis of human prostate tissue using GTX48589 OPA1 antibody.
WB analysis of post-nuclear extracts of mouse embryonic fibroblast cell lysate using GTX48589 OPA1 antibody.
风险提示:丁香通仅作为第三方平台,为商家信息发布提供平台空间。用户咨询产品时请注意保护个人信息及财产安全,合理判断,谨慎选购商品,商家和用户对交易行为负责。对于医疗器械类产品,请先查证核实企业经营资质和医疗器械产品注册证情况。
文献和实验Hsu JY et al., Front Mol Neurosci 2017 (PMID:28676741)
Pabon MA et al., JCI Insight 2018 (PMID:30232271)
Barbier V et al., Virology 2016 (PMID:27816895)
Cheng CT et al., Cancer Res 2016 (PMID:27364555)
Yu CY et al., PLoS Pathog 2015 (PMID:26717518)
Ballweg K et al., Am J Physiol Lung Cell Mol Physiol 2014 (PMID:25326581)
Yang JY et al., J Mol Cell Cardiol 2013 (PMID:23500391)
Chung KP et al., Nat Commun 2019 (PMID:31358769)
Generation of Antibody Molecules Through Antibody Engineering
been overcome to a large extent using genetic-engineering techniques to produce chimeric mouse/human and completely human antibodies. Such an approach is particularly suitable because of the domain structure of the antibody molecule ( 2 ), where functional
Cell Reports:浙大蒋晞课题组发文揭示阿片受体激动剂调控白血病表观遗传学修饰的新机制
受体激动剂洛哌丁胺 (OPA1) 对多种 AML 细胞活性的抑制作用最为显著。 为了进一步研究 OPA1 在体治疗效果,作者建立了两种小鼠白血病模型和异源性骨髓移植(patient derived xeno-BMT (PDX))模型。发现上述模型中,腹腔注射 OPA1 都可以显著延长并改善白血病小鼠生存。因 OPA1 是一种常用口服止泻药,作者尝试了灌胃给药;结果表明:口服 OPA1 也能起到比较明显的疗效。 已有研究报道,阿片类药物与 DNA 甲基化相关[8, 9]。作者检测发现在 OPA1 处理
The importance of antibody molecules was first recognized in the 1890s, when it was shown that immunity to tetanus and diphtheria was caused by antibodies against the bacterial exotoxins (1 ). Around the same time, it was shown that antisera
技术资料暂无技术资料 索取技术资料











