相关产品推荐更多 >
万千商家帮你免费找货
0 人在求购买到急需产品
- 详细信息
- 文献和实验
- 技术资料
- 免疫原:
Full length human recombinant protein of human LIPG (NP_006024) produced in HEK293T cell.
- 亚型:
IgG1
- 形态:
Liquid
- 保存条件:
Store as concentrated solution. Centrifuge briefly prior to opening vial. For short-term storage (1-2 weeks), store at 4ºC. For long-term storage, aliquot and store at -20ºC or below. Avoid multiple freeze-thaw cycles.
- 克隆性:
Monoclonal
- 标记物:
Unconjugated
- 适应物种:
Human, Dog
- 保质期:
12 months from the shipping date of the product.
- 抗原来源:
Human
- 目录编号:
GTX84209
- 级别:
Primary Antibodies
- 库存:
Available
- 供应商:
GeneTex
- 宿主:
Mouse
- 应用范围:
WB, ICC/IF, IHC-P, FACS, IP
- 浓度:
0.85 mg/ml (Please refer to the vial label for the specific concentration.)
- 靶点:
Endothelial Lipase / LIPG
- 抗体英文名:
Endothelial Lipase / LIPG antibody [1B8]
- 抗体名:
Endothelial Lipase / LIPG 抗体 [1B8]
- 规格:
100 μl
WB analysis of HEK293T cells transfected with Endothelial Lipase / LIPG plasmid (Right) or empty vector (Left) for 48 hrs using GTX84209 Endothelial Lipase / LIPG antibody [1B8].
Loading : 5 ug per lane
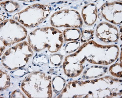
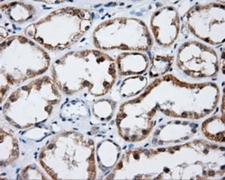
IHC-P analysis of human kidney tissue using GTX84209 Endothelial Lipase / LIPG antibody [1B8].
Antigen retrieval : Heat-induced epitope retrieval by 10mM citrate buffer, pH6.0, 100ºC for 10min.
WB analysis of various cell lines using GTX84209 Endothelial Lipase / LIPG antibody [1B8].
Loading : 35 ug per lane
Dilution : 1:200
IP analysis of DDDDK tagged Endothelial Lipase / LIPG overexpressed HEK293T lysate using GTX84209 Endothelial Lipase / LIPG antibody [1B8].After extensive wash to remove any non-specific binding, the immuno-precipitated products were analyzed with rabbit anti-DDDDK polyclonal antibody.
IP reaction : 2μg antibody / 500μl cell lysate
ICC/IF analysis of COS7 cells transiently transfected with Endothelial Lipase / LIPG plasmid using GTX84209 Endothelial Lipase / LIPG antibody [1B8].
FACS analysis of HEK293T cells transfected with either Endothelial Lipase / LIPG plasmid(Red) or empty vector control plasmid(Blue) using GTX84209 Endothelial Lipase / LIPG antibody [1B8].
风险提示:丁香通仅作为第三方平台,为商家信息发布提供平台空间。用户咨询产品时请注意保护个人信息及财产安全,合理判断,谨慎选购商品,商家和用户对交易行为负责。对于医疗器械类产品,请先查证核实企业经营资质和医疗器械产品注册证情况。
文献和实验Lipoprotein lipase (LPL) is an N -inked glycoprotein of approximately 57 kDa that is synthesized by a numbel of tissues, including white and brown adipose tissue, heart, skeletal muscle, neonatal liver and brain (1 ,2 ). In these tissues
secondary antibody review -- data from 99 publications
whether any cell surface DFz2 had been internalized 4 flow cytometry localize of GPR30 in the endoplasmic reticulum 5 rhodamine immunocytochemistry detect kaposin B in SLK endothelial cells 6 IgG IgG2b Alexa Fluor 647 flow
祝贺〖雅裕睿安〗成为Signalway Antibody(SAB)独家
antibody unconjugated; 货号21337,产品描述:GAPDH Antibody;规格 50 ul / 100 ul; 货号3052,产品描述:Rabbit anti-Human IgG secondary antibody HRP conjugated; 货号300904050,产品描述:One-Hour Western kit,10 ml / bottle x 3;
技术资料暂无技术资料 索取技术资料






![Myosin skeletal fast antibody [MY32] (ready-to-use)](https://img1.dxycdn.com/2022/0328/656/0650689334034500453-14.jpg!wh200)




