相关产品推荐更多 >
万千商家帮你免费找货
0 人在求购买到急需产品
- 详细信息
- 文献和实验
- 技术资料
- 免疫原:
Purified recombinant fragment of human RPL18A (AA: 50-176) expressed in E. Coli.
- 亚型:
IgG1
- 形态:
Liquid
- 保存条件:
Store as concentrated solution. Centrifuge briefly prior to opening vial. For short-term storage (1-2 weeks), store at 4ºC. For long-term storage, aliquot and store at -20ºC or below. Avoid multiple freeze-thaw cycles.
- 克隆性:
Monoclonal
- 标记物:
Unconjugated
- 适应物种:
Human, Mouse
- 保质期:
12 months from the shipping date of the product.
- 抗原来源:
Human
- 目录编号:
GTX60728
- 级别:
Primary Antibodies
- 库存:
Available
- 供应商:
GeneTex
- 宿主:
Mouse
- 应用范围:
WB, ICC/IF, IHC-P, FACS, ELISA
- 靶点:
RPL18A
- 抗体英文名:
RPL18A antibody [6G6G10]
- 抗体名:
RPL18A 抗体 [6G6G10]
- 规格:
100 μl
ELISA analysis of antigen using GTX60728 RPL18A antibody [6G6G10].
Black : Control antigen 100ng
Purple : Antigen 10ng
Blue : Antigen 50ng
Red : Antigen 100ng
ICC/IF analysis of HepG2 cells using GTX60728 RPL18A antibody [6G6G10].
Green : RPL18A
Blue: DRAQ5 fluorescent DNA dye
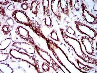
IHC-P analysis of human kidney tissue using GTX60728 RPL18A antibody [6G6G10].
WB analysis of NIH3T3 (1), HEK293 (2), HL60 (3), Jurkat (4), Raji (5), MOLT4 (6), and HeLa (7) cell lysate using GTX60728 RPL18A antibody [6G6G10].
FACS analysis of HEK293 cells using GTX60728 RPL18A antibody [6G6G10].
Green : RPL18A
Purple : negative control
风险提示:丁香通仅作为第三方平台,为商家信息发布提供平台空间。用户咨询产品时请注意保护个人信息及财产安全,合理判断,谨慎选购商品,商家和用户对交易行为负责。对于医疗器械类产品,请先查证核实企业经营资质和医疗器械产品注册证情况。
文献和实验Enrichment of Phosphotyrosine Proteome of Human Platelets by Immunoprecipitation
Proteomics offers the opportunity to comprehensively investigate the anucleate platelet. Here, we present a detailed procedure for enrichment by immunoprecipitation, using the monoclonal antibody 4G10, of the dynamic phosphotyrosine proteome
SDS-PAGE,蛋白转印,western Blot试剂配制
)0.01 M NaOAc (pH5.2) 参照此配方配制。 5×Tris-Glycine Buffer(SDS-PAGE电泳缓冲液)组分浓度:0.125 M Tris, 1.25 M Glycine, 0.5%(W/V) SDS1.称量下列试剂置于烧杯中。Tris 15.1 gGlycine 94 g10%(W/V) SDS(电泳级) 50 ml2.加入约900 ml去离子水搅拌溶解。3.定容至1L,室温保存。(参照《分子克隆》二版P884)Transfer Buffer:[自配] Transfer
[资源] 所有的看家基因(housekeeping genes)列表+引物设计服务
_004889 Homo sapiens ATP synthase, H+ transporting, mitochondrial F0 complex, subunit f, isoform 2 (ATP5J2), mRNA 1513 NM_003769 Homo sapiens splicing factor, arginine/serine-rich 9 (SFRS9), mRNA 1207 NM_003910 Homo sapiens maternal G10 transcript
技术资料暂无技术资料 索取技术资料







![EphB6 antibody [8E7H12]](https://img1.dxycdn.com/2022/0328/826/4590806252777500453-14.jpg!wh200)



