相关产品推荐更多 >
万千商家帮你免费找货
0 人在求购买到急需产品
- 详细信息
- 文献和实验
- 技术资料
- 免疫原:
Purified recombinant fragment of human NEDD8 expressed in E. Coli.
- 亚型:
IgG1
- 形态:
Liquid
- 保存条件:
Store as concentrated solution. Centrifuge briefly prior to opening vial. For short-term storage (1-2 weeks), store at 4ºC. For long-term storage, aliquot and store at -20ºC or below. Avoid multiple freeze-thaw cycles.
- 克隆性:
Monoclonal
- 标记物:
Unconjugated
- 适应物种:
Human, Rat
- 保质期:
12 months from the shipping date of the product.
- 抗原来源:
Human
- 目录编号:
GTX60546
- 级别:
Primary Antibodies
- 库存:
Available
- 供应商:
GeneTex
- 宿主:
Mouse
- 应用范围:
WB, ICC/IF, IHC-P, FACS, ELISA
- 浓度:
1 mg/ml (Please refer to the vial label for the specific concentration.)
- 靶点:
NEDD8
- 抗体英文名:
NEDD8 antibody [5B8]
- 抗体名:
NEDD8 抗体 [5B8]
- 规格:
100 μg
FACS analysis of HeLa cells using GTX60546 NEDD8 antibody [5B8].
Green : NEDD8
Red : negative control
WB analysis of C6 (1) and HeLa (2) cell lysate using GTX60546 NEDD8 antibody [5B8].
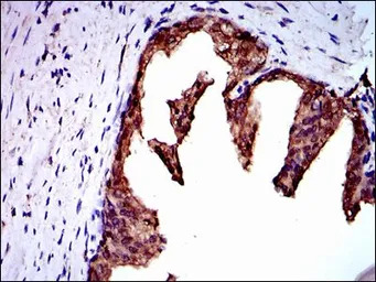
IHC-P analysis of prostate cancer tissue using GTX60546 NEDD8 antibody [5B8].
ICC/IF analysis of HeLa cells using GTX60546 NEDD8 antibody [5B8].
Green : NEDD8
Red: Actin filaments
ELISA analysis of antigen using GTX60546 NEDD8 antibody [5B8].
Black : Control antigen 100ng
Purple : Antigen 10ng
Blue : Antigen 50ng
Red : Antigen 100ng
WB analysis of human NEDD8 (AA: 1-81) recombinant protein using GTX60546 NEDD8 antibody [5B8].
风险提示:丁香通仅作为第三方平台,为商家信息发布提供平台空间。用户咨询产品时请注意保护个人信息及财产安全,合理判断,谨慎选购商品,商家和用户对交易行为负责。对于医疗器械类产品,请先查证核实企业经营资质和医疗器械产品注册证情况。
文献和实验Studies of the Ubiquitin Proteasome System
both in vitro and in cells. Because another protein modifier, NEDD8, itself regulates aspects of the ubiquitin system, basic protocols on neddylation are also included in this unit. Keywords: Ubiquitin; ubiquitylation; proteasomal degradation; protein
[资源] 所有的看家基因(housekeeping genes)列表+引物设计服务
sapiens replication protein A2, 32kDa (RPA2), mRNA 537 NM_004356 Homo sapiens CD81 antigen (target of antiproliferative antibody 1) (CD81), mRNA 3638 NM_001743 Homo sapiens calmodulin 2 (phosphorylase kinase, delta) (CALM2), mRNA 4675 NM_004231
技术资料暂无技术资料 索取技术资料





![SSSCA1 antibody [2F5]](https://img1.dxycdn.com/2022/0328/428/4759979200497500453-14.jpg!wh200)
![IL1F8 antibody [2Q27]](https://img1.dxycdn.com/2022/0328/605/7555709864289400453-14.jpg!wh200)


![CDw75 antibody [LN-1]](https://img1.dxycdn.com/2022/0328/708/3359224565610700453-14.jpg!wh200)
