相关产品推荐更多 >
万千商家帮你免费找货
0 人在求购买到急需产品
- 详细信息
- 文献和实验
- 技术资料
- 免疫原:
Smooth plasma membrane fraction of MeWo cells
- 亚型:
IgG1
- 形态:
Liquid
- 保存条件:
Store as concentrated solution. Centrifuge briefly prior to opening vial. For short-term storage (1-2 weeks), store at 4ºC. For long-term storage, aliquot and store at -20ºC or below. Avoid multiple freeze-thaw cycles.
- 克隆性:
Monoclonal
- 标记物:
Unconjugated
- 适应物种:
Human, Mouse
- 保质期:
12 months from the shipping date of the product.
- 抗原来源:
Human
- 目录编号:
GTX34538
- 级别:
Primary Antibodies
- 库存:
Available
- 供应商:
GeneTex
- 宿主:
Mouse
- 应用范围:
ICC/IF, IHC-P, FACS
- 浓度:
0.2 mg/ml (Please refer to the vial label for the specific concentration.)
- 靶点:
This MAb recognizes protein of 26kDa-60kDa, which is identified as CD63. Its epitope is different from that of MAb LAMP3/529.
- 抗体英文名:
CD63 antibody [NKI/C3]
- 抗体名:
CD63 抗体 [NKI/C3]
- 规格:
100 μg
FACS analysis of MCF-7 cells using GTX34538 CD63 antibody [NKI/C3].
Black : Blank
Green : Isotype Control
Red : Primary antibody
FACS analysis of PFA-fixed U87MG cells using GTX34538 CD63 antibody [NKI/C3].
Blue : Primary antibody
Red : Isotype control
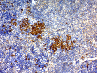
IHC-P analysis of mouse spleen tissue using GTX34538 CD63 antibody [NKI/C3].
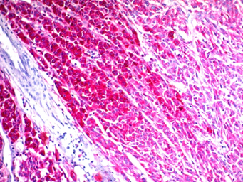
IHC-P analysis of human melanoma tissue using GTX34538 CD63 antibody [NKI/C3].
风险提示:丁香通仅作为第三方平台,为商家信息发布提供平台空间。用户咨询产品时请注意保护个人信息及财产安全,合理判断,谨慎选购商品,商家和用户对交易行为负责。对于医疗器械类产品,请先查证核实企业经营资质和医疗器械产品注册证情况。
文献和实验-3, melanoma associated antigen, NKI-C3 Intracellular lysosomal/endosomal/granule protein, in Weibel-Palade bodies of vascular endothelium Marker of platelet activation (transported to surface after activation) Associated with early stages
,2F12;CRIS-3 Leu LFA-1(gp180/95)的α链 与ICAM-1(CD54)和ICAM-2(CD102)结合 CD11b Mol,OKM1; (Mac-1,CR3,integrin αm G,M,NK gp165/95的α链 C3bi和FB受体,与ICAM-1结合,粘附,调理吞噬 CD11c LeuM5;(CR4,integrin αx) M,G,NK,Tsub gp150/95的α链 C3bi受体,调理吞噬
ELISPOT (Enzyme-linked ImmunoSPOT)
of cytokine-producing cells at the single cell level. The method employs the sandwich assay approach of the enzyme-linked immunosorbent assay (ELISA), with some variations. The ELISPOT capture antibody is coated aseptically onto a polyvinylidene difluoride
技术资料暂无技术资料 索取技术资料






![Deptor antibody [N1C3]](https://img1.dxycdn.com/2022/0328/204/1191206810281300453-14.jpg!wh200)


![EphA2 antibody [AT66G9]](https://img1.dxycdn.com/2022/0328/650/7033637903850800453-14.jpg!wh200)
