相关产品推荐更多 >
万千商家帮你免费找货
0 人在求购买到急需产品
- 详细信息
- 文献和实验
- 技术资料
- 免疫原:
Purified recombinant fragment of human BMPR2 expressed in E. Coli.
- 亚型:
IgG1
- 形态:
Liquid
- 保存条件:
Store as concentrated solution. Centrifuge briefly prior to opening vial. For short-term storage (1-2 weeks), store at 4ºC. For long-term storage, aliquot and store at -20ºC or below. Avoid multiple freeze-thaw cycles.
- 克隆性:
Monoclonal
- 标记物:
Unconjugated
- 适应物种:
Human, Mouse, Rat, Monkey
- 保质期:
12 months from the shipping date of the product.
- 抗原来源:
Human
- 目录编号:
GTX60414
- 级别:
Primary Antibodies
- 库存:
Available
- 供应商:
GeneTex
- 宿主:
Mouse
- 应用范围:
WB, IHC-P, ELISA
- 靶点:
BMPR2
- 抗体英文名:
BMPR2 antibody [1F12]
- 抗体名:
BMPR2 抗体 [1F12]
- 规格:
100 μl
WB analysis of HeLa (1), A431 (2), NIH3T3 (3), Cos7 (4) and PC-12 (5) cell lysate using GTX60414 BMPR2 antibody [1F12].
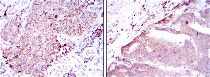
IHC-P analysis of kidney cancer tissue (left) and stomach cancer tissue (right) using GTX60414 BMPR2 antibody [1F12].
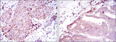
IHC-P analysis of breast cancer tissue (left) and tonsil tissue (right) using GTX60414 BMPR2 antibody [1F12].
ELISA analysis of antigen using GTX60414 BMPR2 antibody [1F12].
Red : Control antigen 100ng
Purple : Antigen 10ng
Green : Antigen 50ng
Blue : Antigen 100ng
风险提示:丁香通仅作为第三方平台,为商家信息发布提供平台空间。用户咨询产品时请注意保护个人信息及财产安全,合理判断,谨慎选购商品,商家和用户对交易行为负责。对于医疗器械类产品,请先查证核实企业经营资质和医疗器械产品注册证情况。
文献和实验/DMEM:F12 Resuspend in an appropriate volume of 10% FBS/DMEM:F12 and keep on ice Add 50μl cell suspension to 50μl 10% FBS/DMEM:F12 containing appropriate amount of antibody to give the final concentration listed below and incubate for 30min
) 3. BSA 4. DMEM 5. FCS 6. Antibiotic 7. Heparin 8. F12medium 9. Isoflourane 10. Ethonol 11. Dynabeads 12. anti-CD31antibody(BDPharmingen,catalognumber:550274) 13. M199 14. gelatin 二、设备 1. 离心机 2. 无菌培养橱
Preparation of Defined Human Embryonic Stem Cell Populations for Transcriptional Profiling
bovine serum (FBS; Invitrogen, cat. no. 16000‐044) in DMEM/F12 medium (chilled to 4°C) 37°C incubator
技术资料暂无技术资料 索取技术资料







![Mist1 antibody [6E8/A12/C11P1]](https://img1.dxycdn.com/2022/0328/960/8404842687065500453-14.jpg!wh200)

![Bcl-2 antibody [8E12]](https://img1.dxycdn.com/2022/0328/435/4069779982827500453-14.jpg!wh200)

