相关产品推荐更多 >
万千商家帮你免费找货
0 人在求购买到急需产品
- 详细信息
- 文献和实验
- 技术资料
- 免疫原:
Purified recombinant fragment of human MAP2K4 expressed in E. Coli.
- 亚型:
IgG1
- 形态:
Liquid
- 保存条件:
Store as concentrated solution. Centrifuge briefly prior to opening vial. For short-term storage (1-2 weeks), store at 4ºC. For long-term storage, aliquot and store at -20ºC or below. Avoid multiple freeze-thaw cycles.
- 克隆性:
Monoclonal
- 标记物:
Unconjugated
- 适应物种:
Human
- 保质期:
12 months from the shipping date of the product.
- 抗原来源:
Human
- 目录编号:
GTX60399
- 级别:
Primary Antibodies
- 库存:
Available
- 供应商:
GeneTex
- 宿主:
Mouse
- 应用范围:
WB, IHC-P, FACS, ELISA
- 靶点:
SEK1 / MKK4
- 抗体英文名:
SEK1 / MKK4 antibody [5H4]
- 抗体名:
SEK1 / MKK4 抗体 [5H4]
- 规格:
100 μl
WB analysis of HepG2 (1), K562 (2), and HEK293 (3) cell lysate using GTX60399 SEK1 / MKK4 antibody [5H4].
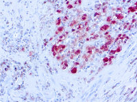
IHC-P analysis of human muscle tissue using GTX60399 SEK1 / MKK4 antibody [5H4].
FACS analysis of K562 cells using GTX60399 SEK1 / MKK4 antibody [5H4].
Green : SEK1 / MKK4
Purple : negative control
ELISA analysis of antigen using GTX60399 SEK1 / MKK4 antibody [5H4].
Red : Control antigen 100ng
Purple : Antigen 10ng
Green : Antigen 50ng
Blue : Antigen 100ng
风险提示:丁香通仅作为第三方平台,为商家信息发布提供平台空间。用户咨询产品时请注意保护个人信息及财产安全,合理判断,谨慎选购商品,商家和用户对交易行为负责。对于医疗器械类产品,请先查证核实企业经营资质和医疗器械产品注册证情况。
文献和实验ELISPOT (Enzyme-linked ImmunoSPOT)
of cytokine-producing cells at the single cell level. The method employs the sandwich assay approach of the enzyme-linked immunosorbent assay (ELISA), with some variations. The ELISPOT capture antibody is coated aseptically onto a polyvinylidene difluoride
Intracellular Cytokine Staining Protocol
anti-cytokine antibodies with excess amounts of unlabeled antibody. Alternatively, recombinant cytokines can be used for blocking.eBioscience antibodies are available as Functional Grade (FG) Purified (sterile, endotoxin-tested, no azide), Purified
Intracellular Cytokine Staining Protocol
, it is common to block the directly-conjugated anti-cytokine antibodies with excess amounts of unlabeled antibody. Alternatively, recombinant cytokines can be used for blocking. eBioscience antibodies are available as Functional Grade (FG) Purified (sterile
技术资料暂无技术资料 索取技术资料






![Bcl-2 antibody [SPM117]](https://img1.dxycdn.com/2022/0328/323/6336264521879600453-14.jpg!wh200)
![FABP9 antibody [AT13F9]](https://img1.dxycdn.com/2022/0328/980/7070446533070800453-14.jpg!wh200)



