相关产品推荐更多 >
万千商家帮你免费找货
0 人在求购买到急需产品
- 详细信息
- 文献和实验
- 技术资料
- 免疫原:
Recombinant fusion protein containing a sequence corresponding to amino acids 201-500 of human SERPING1 (NP_001027466.1).
- 亚型:
IgG
- 形态:
Liquid
- 保存条件:
Store as concentrated solution. Centrifuge briefly prior to opening vial. For short-term storage (1-2 weeks), store at 4ºC. For long-term storage, aliquot and store at -20ºC or below. Avoid multiple freeze-thaw cycles.
- 克隆性:
Polyclonal
- 标记物:
Unconjugated
- 适应物种:
Human, Mouse, Rat
- 保质期:
12 months from the shipping date of the product.
- 抗原来源:
Human
- 目录编号:
GTX55542
- 级别:
Primary Antibodies
- 库存:
Available
- 供应商:
GeneTex
- 宿主:
Rabbit
- 应用范围:
WB, ICC/IF
- 浓度:
Batch dependent (Please refer to the vial label for the specific concentration.)
- 靶点:
C1 inhibitor
- 抗体英文名:
C1 inhibitor antibody
- 抗体名:
C1 inhibitor 抗体
- 规格:
100 μl
ICC/IF analysis of NIH/3T3 cells using GTX55542 C1 inhibitor antibody.
Blue : DAPI
Dilution : 1:100
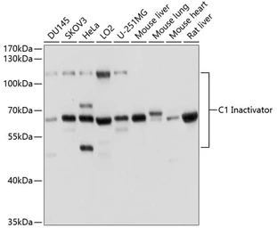
WB analysis of various sample lysates using GTX55542 C1 inhibitor antibody.
Dilution : 1:1000
Loading : 25μg per lane
ICC/IF analysis of HeLa cells using GTX55542 C1 inhibitor antibody.
Blue : DAPI
Dilution : 1:100
ICC/IF analysis of C6 cells using GTX55542 C1 inhibitor antibody.
Blue : DAPI
Dilution : 1:100
风险提示:丁香通仅作为第三方平台,为商家信息发布提供平台空间。用户咨询产品时请注意保护个人信息及财产安全,合理判断,谨慎选购商品,商家和用户对交易行为负责。对于医疗器械类产品,请先查证核实企业经营资质和医疗器械产品注册证情况。
文献和实验C1 Inhibitor: Quantification and Purification
C1 inhibitor is a multipotent serpin capable of inhibiting the classical and the lectin pathways of complement, the fibrinolytic system, and contact/kinin system of coagulation. Deficiency of C1 inhibitor manifest as hereditary angioedema
C1-Inhibitor: Antigenic and Functional Analysis
The classical pathway of complement is activated in various diseases. A main inhibitor of this pathway is the serpin C1-inhibitor (C1-Inh), which regulates activation at the level of C1. C1-Inh also inhibits the mannan binding lectin (MBL
补体成分 C1(C1q/C1r/C1s) 补体成分:C1q 血清浓度(μg/ml):75 分子量(kDa):410 亚单位(链)及分子量(kDa):A:24各6条B:23各6条C:22各6条 生物学活性:识别IgG、IgMFc的补体结合点 补体成分:C1r 血清浓度(μg/ml):50 分子量(kDa):85
技术资料暂无技术资料 索取技术资料







![IRF5 antibody [N1C1]](https://img1.dxycdn.com/2022/0328/932/8267353218689200453-14.jpg!wh200)



