相关产品推荐更多 >
万千商家帮你免费找货
0 人在求购买到急需产品
- 详细信息
- 文献和实验
- 技术资料
- 免疫原:
KLH-conjugated synthetic peptide encompassing a sequence within the C-term region of NFkB p65. The exact sequence is proprietary.
- 亚型:
IgG
- 形态:
Liquid
- 保存条件:
Store as concentrated solution. Centrifuge briefly prior to opening vial. For short-term storage (1-2 weeks), store at 4ºC. For long-term storage, aliquot and store at -20ºC or below. Avoid multiple freeze-thaw cycles.
- 克隆性:
Polyclonal
- 标记物:
Unconjugated
- 适应物种:
Human, Mouse, Rat
- 保质期:
12 months from the shipping date of the product.
- 抗原来源:
Human
- 目录编号:
GTX55128
- 级别:
Primary Antibodies
- 库存:
Available
- 供应商:
GeneTex
- 宿主:
Rabbit
- 应用范围:
WB, IHC-P
- 浓度:
Batch dependent (Please refer to the vial label for the specific concentration.)
- 靶点:
NFkB p65 (phospho Ser529)
- 抗体英文名:
NFkB p65 (phospho Ser529) antibody
- 抗体名:
NFkB p65 (phospho Ser529) 抗体
- 规格:
100 μl
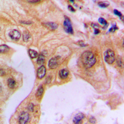
IHC-P analysis of formalin fixed human lung cancer tissue section using GTX55128 NFkB p65 (phospho Ser529) antibody.
Antigen retrieval : Heat mediated antigen retrieval with sodium citrate buffer (pH 6.0)
WB analysis of UV-treated MCF7 (A), TNFa-treated Raw264.7 (B), rat liver (C), rat kidney (D) whole cell lysates using GTX55128 NFkB p65 (phospho Ser529) antibody.
风险提示:丁香通仅作为第三方平台,为商家信息发布提供平台空间。用户咨询产品时请注意保护个人信息及财产安全,合理判断,谨慎选购商品,商家和用户对交易行为负责。对于医疗器械类产品,请先查证核实企业经营资质和医疗器械产品注册证情况。
文献和实验sakura042 本新手欲研究nfkb引起内皮细胞凋亡的机制:是否通过jnk通路。 这是否是一个信号通路串话的问题? 我们用特异性抑制剂阻断nfkb后发现jnk活性下降,是否就能说明nfkb促进内皮细胞凋亡是通过jnk通路呢?还需要再阻断或者过表达jnk通路来反证吗? 这个问题困扰了我好久,请教各位高手。 sakura042 自己顶一下 三叶虫 请问一下
【求助】于NF-KB 激活,P65磷酸化位点是ser536还是ser276?
激活。所以蛋白的磷酸化或去磷酸化不是简单的孤立现象,它始终与细胞信号转导有关系。最终将达到细胞增殖、分化、激活等功能的实现。 magichunter 楼上回答的是什么啊?人家问的是:于NF-KB 激活,P65磷酸化位点是ser536还是ser276? 你也没回答到底是哪个啊? 伽利略 chenlydd wrote: 我认为蛋白的磷酸化与其功能有关系。蛋白可被磷酸化,也可被去磷
【求助】矛盾的实验结果:IKb alpha和NFKB同时升高
吴佰霖 我的基因过表达,结合文献,推理应该是IKb alpha下降,而NFKB升高 (IKb可磷酸化NFKB,使后者降低) 但现在我的结果是两者同时升高,请问可能的原因有哪些呢? 谢谢 woxingwosu 可否检测一下NFKB的磷酸化情况? erik NFKB是检测核内的吗?检测p65还是p50/ 吴佰霖 检测总蛋白
技术资料暂无技术资料 索取技术资料







![FABP4 antibody [9B8D]](https://img1.dxycdn.com/2022/0328/684/8138916435577500453-14.jpg!wh200)



